Formulation Supplied at 0.5 mg/ml in Tris saline, 0.02% sodium azide, pH7.3 with 0.5% bovine serum albumin.
| |
Unit Size 100 µg | |
Storage Instructions Aliquot and store at -20°C. Minimize freezing and thawing. | |
Synonym / Alias Names intermediate filament protein|FLJ41793|FLJ41013|FLJ39719|FLJ12025|CSM2|CSM1|CMD1I|desmin|DES | |
Accession ID NP_001918.3 | |
Blocking Peptide EBP09106 | |
Immunogen Peptide with sequence C-RDGEVVSEATQQQHE, from the C Terminus of the protein sequence according to NP_001918.3. | |
Peptide Sequence C-RDGEVVSEATQQQHE | |
Purification Method Purified from goat serum by ammonium sulphate precipitation followed by antigen affinity chromatography using the immunizing peptide. | |
Shipping Instructions Refrigerated | |
Predicted Species Human, Mouse, Dog, Cow | |
Reactive Species Human, Mouse | |
Human Gene ID 1674 | |
Mouse Gene ID 13346 | |
Rat Gene ID 64362 | |
Product Grade ![]() | |
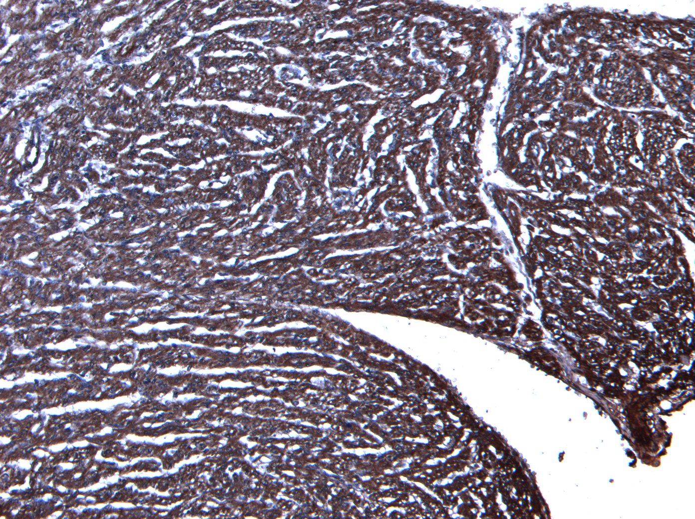
IHC Results Paraffin embedded Human Heart. Recommended concentration: 4-6µg/ml. | |
ELISA Detection Limit Antibody detection limit dilution 1:128000. | |
Western Blot Approx. 55-60kDa band observed in Human and Mouse Skeletal Muscle lysates and in Human Heart lysates (calculated MW of 53.5kDa according to Human NP_001918.3, and Mouse NP_034173.1). Preliminary testing showed a band at approx 60kDa in Rat and Pig Skeletal muscle lysate. Recommended concentration: 0.01-0.3µg/ml. Primary incubation 1 hour at room temperature. | |
Application Type Pep-ELISA, WB, IHC |
Goat Anti-Desmin Antibody
$431.00
| SKU | Unit Size | Price |
|---|---|---|
Select a unit size:
Documents |




