Formulation Supplied at 0.5 mg/ml in Tris saline, 0.02% sodium azide, pH7.3 with 0.5% bovine serum albumin.
| |
Unit Size 100 µg | |
Storage Instructions Aliquot and store at -20°C. Minimize freezing and thawing. | |
Synonym / Alias Names DCXR|dicarbonyl/L-xylulose reductase|DCR|HCRII|KIDCR|P34H|carbonyl reductase|carbonyl reductase II|kidney dicarbonyl reductase|HCR2|SDR20C1|human carbonyl reductase 2|kidney dicarbonyl reductase|short chain dehydrogenase/reductase family 20C, member 1 | |
Accession ID NP_057370.1 | |
Blocking Peptide EBP05518 | |
Immunogen Peptide with sequence GSTLPVEGGFWAC, from the C Terminus of the protein sequence according to NP_057370.1. | |
Peptide Sequence GSTLPVEGGFWAC | |
Purification Method Purified from goat serum by ammonium sulphate precipitation followed by antigen affinity chromatography using the immunizing peptide. | |
Shipping Instructions Refrigerated | |
Predicted Species Human | |
Reactive Species Human | |
Human Gene ID 51181 | |
Product Grade ![]() | |
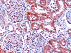
IHC Results In paraffin embedded human kidney, stains membrane / cytoplasm in epithelial cells of renal glomeruli and tubules. Recommended concentration, 1-2µg/ml. | |
ELISA Detection Limit Antibody detection limit dilution 1:32000. | |
Western Blot Approx 26kDa band observed in human kidney, liver and testes lysates (calculated MW of 25.9kDa according to NP_057370.1). Recommended for use at 0.1-0.3µg/ml. | |
Application Type Pep-ELISA, WB, IHC |
Goat Anti-Dicarbonyl Reductase Antibody
$431.00
| SKU | Unit Size | Price |
|---|---|---|
Select a unit size:
Documents |


