Formulation Supplied at 0.5 mg/ml in Tris saline, 0.02% sodium azide, pH7.3 with 0.5% bovine serum albumin.
| |
Unit Size 100 µg | |
Storage Instructions Aliquot and store at -20°C. Minimize freezing and thawing. | |
Synonym / Alias Names dipeptidyl peptidase like protein 2|dipeptidyl peptidase 10|DPPY|DPL2|dipeptidyl-peptidase 10|dipeptidyl peptidase-like protein 2|dipeptidyl peptidase X|dipeptidyl peptidase IV-related protein 3|DPRP3|HGNC:20823|dipeptidylpeptidase 10|DPP10 | |
Accession ID NP_065919.2; NP_001004360.2 | |
Blocking Peptide EBP06750 | |
Immunogen Peptide with sequence C-DEGHNVSEKSKYHL, from the internal region of the protein sequence according to NP_065919.2; NP_001004360.2. | |
Product Comments This antibody is expected to recognise both reported isoforms NP_065919.2 and NP_001004360.2. | |
Peptide Sequence C-DEGHNVSEKSKYHL | |
Purification Method Purified from goat serum by ammonium sulphate precipitation followed by antigen affinity chromatography using the immunizing peptide. | |
Shipping Instructions Refrigerated | |
Predicted Species Human, Dog, Cow | |
Reactive Species Human | |
Human Gene ID 57628 | |
Product Grade ![]() | |
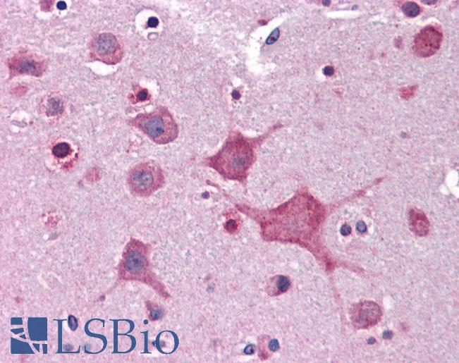
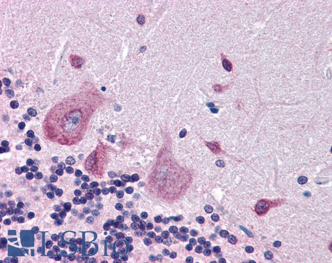
IHC Results Paraffin embedded Human Brain (Cortex and Cerebellum). Recommended concentration: 3.75µg/ml. | |
ELISA Detection Limit Antibody detection limit dilution 1:32000. | |
Western Blot Approx 90kDa band observed in Human Bone Marrow lysates (calculated MW of 90.0kDa according to NP_065919.2 and of 90.1 according to NP_001004360.1). Recommended concentration: 0.1-0.3µg/ml. | |
Application Type Pep-ELISA, WB, IHC |
Goat Anti-Dipeptidylpeptidase 10 Antibody
$431.00
| SKU | Unit Size | Price |
|---|---|---|
Select a unit size:
Documents |



