Formulation Supplied at 0.5 mg/ml in Tris saline, 0.02% sodium azide, pH7.3 with 0.5% bovine serum albumin.
| |
Unit Size 100 µg | |
Storage Instructions Aliquot and store at -20°C. Minimize freezing and thawing. | |
Synonym / Alias Names DLX5|distal-less homeobox 5|distal-less homeo box 5 | |
Accession ID NP_005212.1 | |
Blocking Peptide EBP09284 | |
Immunogen Peptide with sequence C-AYNRVPSATNQPEK, from the internal region of the protein sequence according to NP_005212.1. | |
Peptide Sequence C-AYNRVPSATNQPEK | |
Purification Method Purified from goat serum by ammonium sulphate precipitation followed by antigen affinity chromatography using the immunizing peptide. | |
Shipping Instructions Refrigerated | |
Predicted Species Human, Mouse, Rat, Cow | |
Reactive Species Human | |
Human Gene ID 1749 | |
Mouse Gene ID 13395 | |
Rat Gene ID 25431 | |
Product Grade ![]() | |
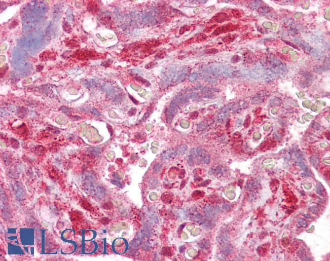
IHC Results Paraffin embedded Human Placenta. Recommended concentration: 2.5µg/ml. | |
ELISA Detection Limit Antibody detection limit dilution 1:32000. | |
Western Blot Approx 30kDa band observed in Human Bone Marrow lysates (calculated MW of 31.5kDa according to NP_005212.1). The observed molecular weight corresponds to earlier findings in literature with different antibodies (Lee et al, J Biol Chem. 2003 Sep 5;278(36):34387-94; PMID: 12815054). Recommended concentration: 1-3µg/ml. Primary incubation was 1 hour. | |
Application Type Pep-ELISA, WB, IHC |
Goat Anti-DLX5 Antibody
$431.00
| SKU | Unit Size | Price |
|---|---|---|
Select a unit size:
Documents |


