Formulation Supplied at 0.5 mg/ml in Tris saline, 0.02% sodium azide, pH7.3 with 0.5% bovine serum albumin.
| |
Unit Size 100 µg | |
Storage Instructions Aliquot and store at -20°C. Minimize freezing and thawing. | |
Synonym / Alias Names HGNC:4035|CTA-134P22.3|plasmodium vivax receptor|glycoprotein D|duffy blood group chemokine receptor|Fy glycoprotein|Duffy blood group, chemokine receptor|Duffy blood group, atypical chemokine receptor|Duffy blood group antigen|Duffy antigen chemokine receptor|WBCQ1|GpFy|GPD|FY|Dfy|DARC|CD234|CCBP1|atypical chemokine receptor 1 (Duffy blood group)|ACKR1 | |
Usage Summary Flow cytometry: Flow cytometric analysis of HEK293 cells. Recommended concentration: 10ug/ml. A customer has reported successful staining of HEK293S-TetR transfected with DARC receptor at a dilution of 1/1000. | |
Accession ID NP_001116423.1; NP_002027.2 | |
Blocking Peptide EBP06940 | |
Immunogen Peptide with sequence HRAELSPSTENSSQLDFED-C, from the N Terminus of the protein sequence according to NP_001116423.1; NP_002027.2. | |
Product Comments This antibody is expected to recognize both reported isoforms (NP_001116423.1; NP_002027.2). | |
Peptide Sequence HRAELSPSTENSSQLDFED-C | |
Purification Method Purified from goat serum by ammonium sulphate precipitation followed by antigen affinity chromatography using the immunizing peptide. | |
Shipping Instructions Refrigerated | |
Predicted Species Human | |
Reactive Species Human | |
Human Gene ID 2532 | |
Product Grade ![]() | |
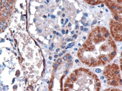
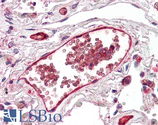
IHC Results In paraffin embedded Human Kidney stains epithelial cells of renal tubules and endothelial cells of vessels. The granular staining is compatible with the endoplasmic reticulum association of the protein. Recommended concentration: 3µg/ml. Paraffin embedded Human Lung. Recommended concentration: 5µg/ml. | |
ELISA Detection Limit Antibody detection limit dilution 1:16000. | |
Western Blot Approx 37kDa band observed in Human Liver lysates (calculated MW of 35.6kDa according to NP_002027.2). Recommended concentration: 0.3-1µg/ml. Primary incubation was 1 hour. | |
Application Type Pep-ELISA, WB, IHC, FC |
Goat Anti-Duffy / FY / DARC Antibody
$431.00
| SKU | Unit Size | Price |
|---|---|---|
Select a unit size:
Documents |




