Formulation Supplied at 0.5 mg/ml in Tris saline, 0.02% sodium azide, pH7.3 with 0.5% bovine serum albumin.
| |
Unit Size 100 µg | |
Storage Instructions Aliquot and store at -20°C. Minimize freezing and thawing. | |
Synonym / Alias Names hypothetical protein LOC641700|endothelial cell-specific marker 2, endothelial cell-specific molecule 2 | |
Usage Summary Immunofluorescence: This product has been successfully used in IF on Human: Matsuo K et al, J Biol Chem. 2015 Feb 6;290(6):3784. PMID: 25533470. | |
Accession ID NP_001071161.1 | |
Blocking Peptide EBP06374 | |
Immunogen Peptide with sequence C-NNGKQSLSAEKVL, from the C Terminus of the protein sequence according to NP_001071161.1. | |
Peptide Sequence C-NNGKQSLSAEKVL | |
Purification Method Purified from goat serum by ammonium sulphate precipitation followed by antigen affinity chromatography using the immunizing peptide. | |
Shipping Instructions Refrigerated | |
Predicted Species Human | |
Reactive Species Human | |
Product Grade ![]() | |
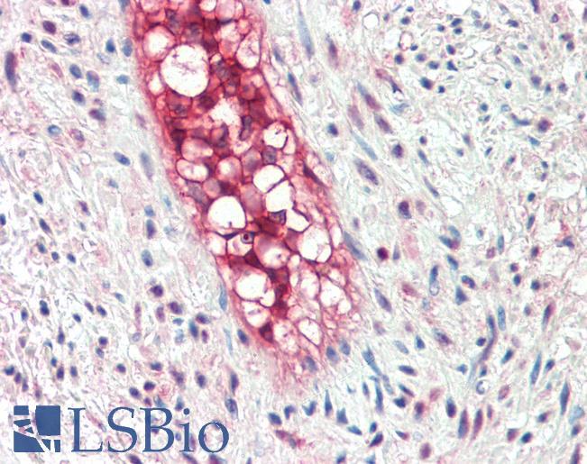
IHC Results Paraffin embedded Human Vessel. Recommended concentration: 5µg/ml. This product has been successfully used in IHC on Human: Matsuo K et al, J Biol Chem. 2015 Feb 6;290(6):3784. PMID: 25533470. | |
ELISA Detection Limit Antibody detection limit dilution 1:128000. | |
Western Blot Approx 50kDa band observed in Human Lung and Human Umbilical Cord lysates (calculated MW of 21.3kDa according to NP_001071161.1). The observed molecular weight corresponds to earlier findings in literature with different antibodies (Ref PMID: 18556573). Recommended concentration: 1-3µg/ml. | |
Application Type Pep-ELISA, WB, IHC, IF |
Goat Anti-ECSM2 Antibody
$464.00
| SKU | Unit Size | Price |
|---|---|---|
Select a unit size:
Selected References [{"pmid": 25533470, "intro": "This antibody has been successfully used in IHC and IF on Human:", "title": "Loss of apoptosis regulator through modulating IAP expression (ARIA) protects blood vessels fromatherosclerosis.", "author": "Matsuo K, Akakabe Y, Kitamura Y, Shimoda Y, Ono K, Ueyama T, Matoba S, Yamada H, Hatakeyama K, Asada Y, Emoto N, Ikeda K.", "journal": "J Biol Chem. 2015 Feb 6;290(6):3784"}] |
Documents |


