Formulation Supplied at 0.5 mg/ml in Tris saline, 0.02% sodium azide, pH7.3 with 0.5% bovine serum albumin.
| |
Unit Size 100 µg | |
Storage Instructions Aliquot and store at -20°C. Minimize freezing and thawing. | |
Synonym / Alias Names EDF1|endothelial differentiation-related factor 1|EDF-1|MBF1|multiprotein bridging factor 1 | |
Accession ID NP_003783.1; NP_694880.1 | |
Blocking Peptide EBP12263 | |
Immunogen Peptide with sequence C-NKQHSITKNTAKLDR, from the internal region of the protein sequence according to NP_003783.1; NP_694880.1. | |
Product Comments This antibody is expected to recognize both reported isoforms (NP_003783.1; NP_694880.1). | |
Peptide Sequence C-NKQHSITKNTAKLDR | |
Purification Method Purified from goat serum by ammonium sulphate precipitation followed by antigen affinity chromatography using the immunizing peptide. | |
Shipping Instructions Refrigerated | |
Predicted Species Human, Mouse, Rat, Pig | |
Reactive Species Human | |
Human Gene ID 8721 | |
Mouse Gene ID 59022 | |
Rat Gene ID 678956 | |
Product Grade ![]() | |
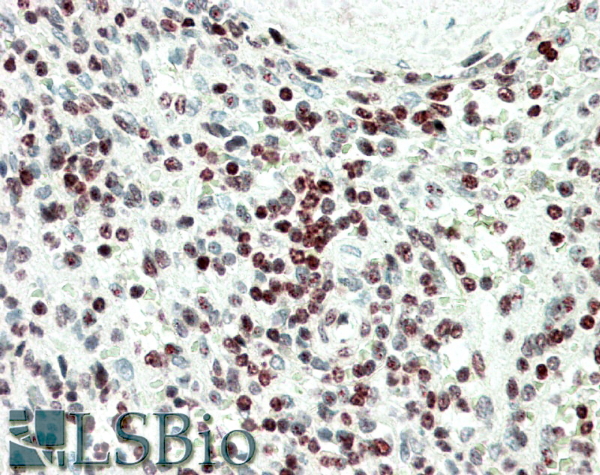
IHC Results In paraffin embedded Human Spleen shows nuclear staining of select lymphocytes in the marginal zone. Recommended concentration, 5-10µg/ml. | |
ELISA Detection Limit Antibody detection limit dilution 1:128000. | |
Western Blot Approx 17kDa band observed in lysates of cell line A549 (calculated MW of 16.4kDa according to NP_003783.1). Recommended concentration: 0.3-1µg/ml. | |
Application Type Pep-ELISA, WB, IHC |
Goat Anti-EDF1 Antibody
$431.00
| SKU | Unit Size | Price |
|---|---|---|
Select a unit size:
Documents |


