Formulation Supplied at 0.5 mg/ml in Tris saline, 0.02% sodium azide, pH7.3 with 0.5% bovine serum albumin.
| |
Unit Size 100 µg | |
Storage Instructions Aliquot and store at -20°C. Minimize freezing and thawing. | |
Synonym / Alias Names EEF1E1|eukaryotic translation elongation factor 1 epsilon 1|AIMP3|P18|ARS-interacting multifunctional protein 3|aminoacyl tRNA synthetase complex-interacting multifunctional protein 3|eukaryotic translation elongation factor 1 epsilon-1| | |
Accession ID NP_004271.1; NP_001129122.1 | |
Blocking Peptide EBP12188 | |
Immunogen Peptide with sequence C-SKGNKYSAQGERQ, from the internal region (near N Terminus) of the protein sequence according to NP_004271.1; NP_001129122.1. | |
Product Comments This antibody is expected to recognize both reported isoforms (NP_004271.1; NP_001129122.1). | |
Peptide Sequence C-SKGNKYSAQGERQ | |
Purification Method Purified from goat serum by ammonium sulphate precipitation followed by antigen affinity chromatography using the immunizing peptide. | |
Shipping Instructions Refrigerated | |
Predicted Species Human, Dog, Pig, Cow | |
Reactive Species Human, Pig | |
Human Gene ID 9521 | |
Product Grade ![]() | |
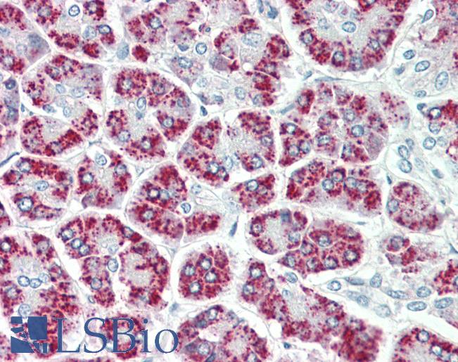
IHC Results Paraffin embedded Human Pancreas. Recommended concentration: 5µg/ml. | |
ELISA Detection Limit Antibody detection limit dilution 1:128000. | |
Western Blot Approx 19kDa band observed in lysates of cell lines HepG2 and K562 (calculated MW of 19.8kDa according to NP_004271.1) and in Pig Testis lysates (calculated MW of 19.8kDa according to NP_001230474.1). Recommended concentration: 0.1-0.3µg/ml. Primary incubation was 1 hour. | |
Application Type Pep-ELISA, WB, IHC |
Goat Anti-EEF1E1 / AIMP3 / p18 Antibody
$431.00
| SKU | Unit Size | Price |
|---|---|---|
Select a unit size:
Documents |



