Formulation Supplied at 0.5 mg/ml in Tris saline, 0.02% sodium azide, pH7.3 with 0.5% bovine serum albumin.
| |
Unit Size 100 µg | |
Storage Instructions Aliquot and store at -20°C. Minimize freezing and thawing. | |
Synonym / Alias Names uORF A|OTTHUMP00000128384|eIF5AI|MGC99547|MGC104255|EIF5A1|EIF-5A|eukaryotic translation initiation factor 5A|EIF5A | |
Accession ID NP_001137232.1 | |
Blocking Peptide EBP09590 | |
Immunogen Peptide with sequence C-RPPHRASFLKRLESK, from the internal region (near N Terminus) of the protein sequence according to NP_001137232.1. | |
Product Comments Reported variants NP_001137233.1, NP_001961.1 and NP_001137234.1 represent identical protein: | |
Peptide Sequence C-RPPHRASFLKRLESK | |
Purification Method Purified from goat serum by ammonium sulphate precipitation followed by antigen affinity chromatography using the immunizing peptide. | |
Shipping Instructions Refrigerated | |
Predicted Species Human | |
Reactive Species Human | |
Human Gene ID 1984 | |
Product Grade ![]() | |
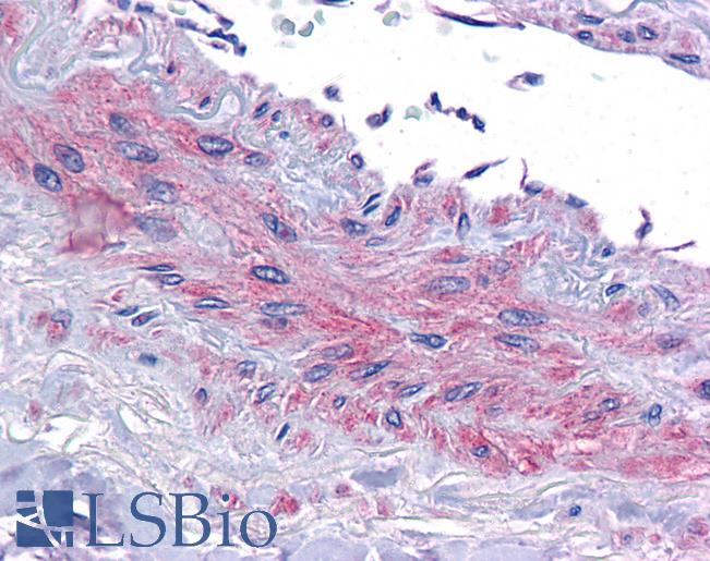
IHC Results Paraffin embedded Human Spleen, Tonsil and Vessel. Recommended concentration: 3.75µg/ml. | |
ELISA Detection Limit Antibody detection limit dilution 1:128000. | |
Western Blot Approx 20kDa band observed in MOLT4 lysates (calculated MW of 20.2kDa according to NP_001137232.1). Recommended concentration: 1-3µg/ml. Primary incubation was 1 hour. This antibody has been successfully used in WB on Human, PMID: 27414022 and 33459432. | |
Application Type Pep-ELISA, WB, IHC |
Goat Anti-eIF5A Antibody
$431.00
| SKU | Unit Size | Price |
|---|---|---|
Select a unit size:
Selected References [{"pmid": 27414022, "intro": "This antibody has been successfully used in Western blot on Human:", "title": "Alternative Start Codon Connects eIF5A to Mitochondria.", "author": "Pereira KD, Tamborlin L, Meneguello L, de Proença AR, Almeida IC, Lourenço RF, Luchessi AD.", "journal": "J Cell Physiol. 2016 Dec;231(12):2682-9."}, {"pmid": 33459432, "intro": "This antibody has been successfully used in Western blot on Human:", "title": "Alternative human eIF5A protein isoform plays a critical role in mitochondria", "author": "Karina D Pereira, Letícia Tamborlin, Tanes I de Lima, Silvio R Consonni, Leonardo R Silveira, Augusto D Luchessi", "journal": "J Cell Biochem. 2021 Jan 18."}] |
Documents |




