Formulation Supplied at 0.5 mg/ml in Tris saline, 0.02% sodium azide, pH7.3 with 0.5% bovine serum albumin.
| |
Unit Size 100 µg | |
Storage Instructions Aliquot and store at -20°C. Minimize freezing and thawing. | |
Synonym / Alias Names v-erb-b2 avian erythroblastic leukemia viral oncogene homolog 3|receptor tyrosine-protein kinase erbB-3|MGC88033|LCCS2|erbB-3|p85-sErbB3|p45-sErbB3|p180-ErbB3|erbB3-S|c-erbB3|c-erbB-3|MDA-BF-1|ErbB-3|HGNC:3431|v-erb-b2 erythroblastic leukemia viral oncogene homolog 3 (avian)|HER3|ERBB3 | |
Usage Summary Immunofluorescence: Strong expression of the protein seen in the cytoplasm/ membranes of MCF7 cells. Recommended concentration: 10µg/ml.
Flow Cytometry: Flow cytometric analysis of MCF7 cells. Recommended concentration: 10ug/ml. | |
Accession ID NP_001973.2 | |
Blocking Peptide EBP06903 | |
Immunogen Peptide with sequence C-HSRLFPKANAQRT, from the C Terminus of the protein sequence according to NP_001973.2. | |
Product Comments This antibody is expected to recognise isoform 1 (NP_001973.2) only. | |
Peptide Sequence C-HSRLFPKANAQRT | |
Purification Method Purified from goat serum by ammonium sulphate precipitation followed by antigen affinity chromatography using the immunizing peptide. | |
Shipping Instructions Refrigerated | |
Predicted Species Human, Mouse, Rat, Dog, Pig, Cow | |
Reactive Species Human | |
Human Gene ID 2065 | |
Mouse Gene ID 13867 | |
Rat Gene ID 29496 | |
Product Grade ![]() | |
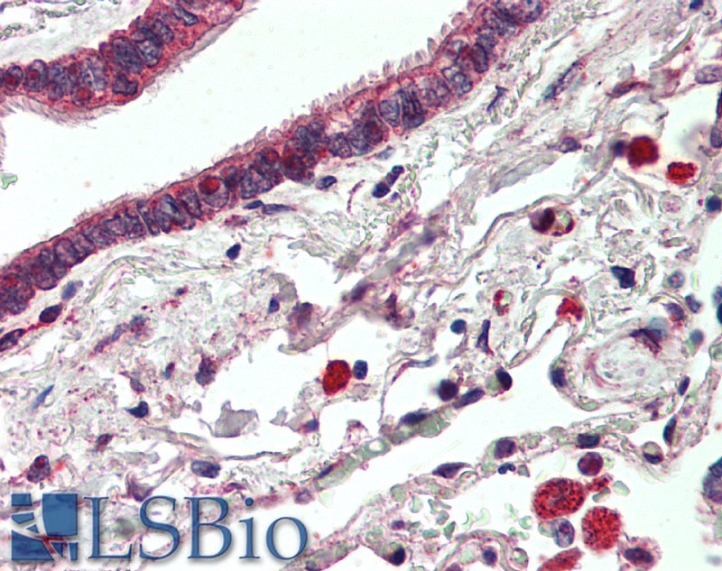
IHC Results Paraffin embedded Human Lung. Recommend concentration: 5µg/ml. | |
ELISA Detection Limit Antibody detection limit dilution 1:32000. | |
Application Type Pep-ELISA, FC, IF, IHC |
Goat Anti-ERBB3 / HER3 Antibody
$431.00
| SKU | Unit Size | Price |
|---|---|---|
Select a unit size:
Documents |



