Formulation Supplied at 0.5 mg/ml in Tris saline, 0.02% sodium azide, pH7.3 with 0.5% bovine serum albumin.
| |
Unit Size 100 µg | |
Storage Instructions Aliquot and store at -20°C. Minimize freezing and thawing. | |
Synonym / Alias Names estrogen receptor beta 4|estrogen receptor beta|NR3A2|Erb|ESTRB|ESRB|ESR-BETA|ER-BETA|estrogen receptor 2 (ER beta)|ESR2 | |
Accession ID NP_001035365.1; NP_001035366.1; NP_001428.1 | |
Blocking Peptide EBP08362 | |
Immunogen Peptide with sequence RRQRSADEQLHC, from the internal region of the protein sequence according to NP_001035365.1; NP_001035366.1; NP_001428.1. | |
Product Comments This antibody is expected to recognise all three isoforms (NP_001035365.1; NP_001035366.1; NP_001428.1) | |
Peptide Sequence RRQRSADEQLHC | |
Purification Method Purified from goat serum by ammonium sulphate precipitation followed by antigen affinity chromatography using the immunizing peptide. | |
Shipping Instructions Refrigerated | |
Predicted Species Human | |
Reactive Species Human | |
Human Gene ID 2100 | |
Product Grade ![]() | |
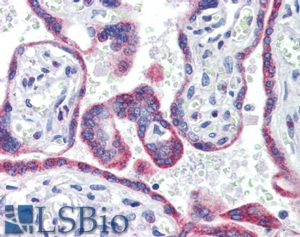
IHC Results In paraffin embedded Human Placenta shows staining of syncytiotrophoblasts. Recommended concentration, 3-5µg/ml. | |
ELISA Detection Limit Antibody detection limit dilution 1:128000. | |
Western Blot Approx 55kDa band observed in Human Liver and Thymus lysates (calculated MW of 55.5kDa according to Human NP_001035365.1). An additional band of 35kDa was observed in some (not all) Liver lysates which was successfully blocked by incubation with the immunizing peptide. Recommended concentration: 0.3-2µg/ml. Primary incubation was 1 hour. | |
Application Type Pep-ELISA, IHC, WB |
Goat Anti-Estrogen receptor 2 Antibody
$431.00
| SKU | Unit Size | Price |
|---|---|---|
Select a unit size:
Documents |


