Formulation Supplied at 0.5 mg/ml in Tris saline, 0.02% sodium azide, pH7.3 with 0.5% bovine serum albumin.
| |
Unit Size 100 µg | |
Storage Instructions Aliquot and store at -20°C. Minimize freezing and thawing. | |
Synonym / Alias Names electron transfer flavoprotein beta subunit|electron transfer flavoprotein beta-subunit|electron transfer flavoprotein, beta polypeptide|electron-transfer-flavoprotein, beta polypeptide|electron-transferring-flavoprotein, beta polypeptide|FP585|MADD|ETFB | |
Accession ID NP_001976.1; NP_001014763.1 | |
Blocking Peptide EBP10172 | |
Immunogen Peptide with sequence C-PQRTAGVKVETTE, from the C Terminus of the protein sequence according to NP_001976.1; NP_001014763.1. | |
Product Comments This antibody is expected to recognize both reported isoforms (NP_001976.1; NP_001014763.1). | |
Peptide Sequence C-PQRTAGVKVETTE | |
Purification Method Purified from goat serum by ammonium sulphate precipitation followed by antigen affinity chromatography using the immunizing peptide. | |
Shipping Instructions Refrigerated | |
Predicted Species Human, Mouse, Rat, Dog, Cow | |
Reactive Species Human, Mouse, Rat | |
Human Gene ID 2109 | |
Mouse Gene ID 110826 | |
Rat Gene ID 292845 | |
Product Grade ![]() | |
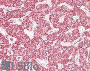
IHC Results In paraffin embedded Human Liver shows mitochondrial staining in hepatocytes. Recommended concentration, 3-5µg/ml. | |
ELISA Detection Limit Antibody detection limit dilution 1:8000. | |
Western Blot Approx 26kDa band observed in Human, Mouse and Rat Liver lysates (calculated MW of 27.8kDa according to NP_001976.1). Recommended concentration: 0.01-0.03µg/ml. | |
Application Type Pep-ELISA, WB, IHC |
Goat Anti-ETFB (aa 231-243) Antibody
$431.00
| SKU | Unit Size | Price |
|---|---|---|
Select a unit size:
Documents |


