Formulation Supplied at 0.5 mg/ml in Tris saline, 0.02% sodium azide, pH7.3 with 0.5% bovine serum albumin.
| |
Unit Size 100 µg | |
Storage Instructions Aliquot and store at -20°C. Minimize freezing and thawing. | |
Synonym / Alias Names DFNA10|CMD1J|RP11-704J17.4|eyes absent 4|deafness, autosomal dominant 10|dJ78N10.1 (eyes absent (Drosophila) homolog 4)|OTTHUMP00000040267|DFNA10|HGNC:3522|eyes absent homolog 4 (Drosophila)|EYA4 | |
Accession ID NP_004091.3; NP_742103.1; NP_742101.2; NP_001287941.1; NP_001287942.1 | |
Blocking Peptide EBP06993 | |
Immunogen Peptide with sequence EDSQDLNEQSVKKTC, from the N Terminus of the protein sequence according to NP_004091.3; NP_742103.1; NP_742101.2; NP_001287941.1; NP_001287942.1. | |
Peptide Sequence EDSQDLNEQSVKKTC | |
Purification Method Purified from goat serum by ammonium sulphate precipitation followed by antigen affinity chromatography using the immunizing peptide. | |
Shipping Instructions Refrigerated | |
Predicted Species Human, Mouse | |
Reactive Species Human | |
Human Gene ID 2070 | |
Mouse Gene ID 14051 | |
Product Grade ![]() | |
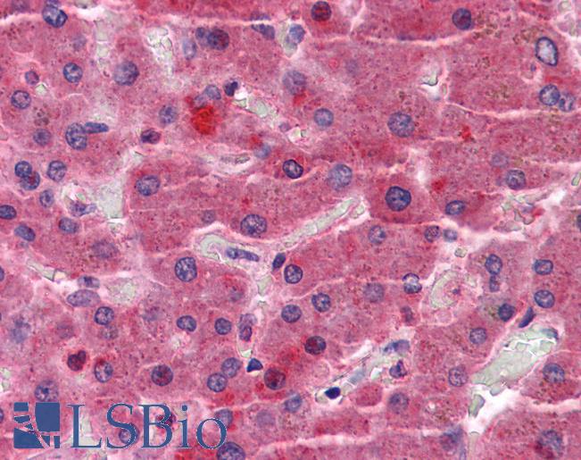
IHC Results Paraffin embedded Human Testis and Liver. Recommended concentration: 3.75µg/ml. | |
ELISA Detection Limit Antibody detection limit dilution 1:128000. | |
Application Type Pep-ELISA, IHC |
Goat Anti-EYA4 Antibody
$431.00
| SKU | Unit Size | Price |
|---|---|---|
Select a unit size:
Documents |


