Formulation Supplied at 0.5 mg/ml in Tris saline, 0.02% sodium azide, pH7.3 with 0.5% bovine serum albumin.
| |
Unit Size 100 µg | |
Storage Instructions Aliquot and store at -20°C. Minimize freezing and thawing. | |
Synonym / Alias Names long-chain fatty-acid-Coenzyme A ligase 4|acyl-CoA synthetase 4|MRX68|LACS4|MRX63|Fatty acid coenzyme A ligase, long-chain 4|lignoceroyl-CoA synthase|LACS 4|ACS4|fatty-acid-Coenzyme A ligase, long-chain 4|FACL4|acyl-CoA synthetase long-chain family member 4|ACSL4 | |
Usage Summary Immunofluorescence: Strong expression of the protein seen in the Golgi and Endoplasmic reticulum of HeLa cells. Recommended concentration: 10µg/ml.
Flow Cytometry: Flow cytometric analysis of HeLa cells. Recommended concentration: 10ug/ml. Additional validation: This antibody has been successfully used in the following paper: Sikorski et al. (2018) PMID: 30377371. | |
Accession ID NP_004449.1; NP_075266.1 | |
Blocking Peptide EBP05662 | |
Immunogen Peptide with sequence C-HYLKDIERMYGGK, from the C Terminus of the protein sequence according to NP_004449.1; NP_075266.1. | |
Product Comments This antibody is expected to recognise isoform 1 (NP_004449.1) and isoform 2 (NP_075266.1). | |
Peptide Sequence C-HYLKDIERMYGGK | |
Purification Method Purified from goat serum by ammonium sulphate precipitation followed by antigen affinity chromatography using the immunizing peptide. | |
Shipping Instructions Refrigerated | |
Predicted Species Human, Mouse, Rat, Dog, Pig, Cow | |
Reactive Species Human | |
Human Gene ID 2182 | |
Mouse Gene ID 50790 | |
Rat Gene ID 113976 | |
Product Grade ![]() | |
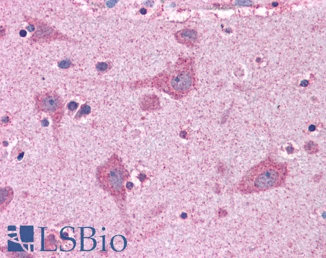
IHC Results Paraffin embedded Human Small Intestine and Brain (Cortex). Recommended concentration: 3.75µg/ml. | |
ELISA Detection Limit Antibody detection limit dilution 1:128000. | |
Western Blot Approx 80-85kDa band observed in lysates of cell line HepG2 and approx 75kDa in preliminary testing of Human Adipose lysate (calculated MW of 79.2kDa according to NP_075266.1 and 74.4kDa according to NP_004449.1). Recommended concentration: 0.1-0.3µg/ml. Primary incubation 1 hour at room temperature. | |
Application Type Pep-ELISA, WB, IHC, IF, FC |
Goat Anti-FACL4 / ACSL4 Antibody
$464.00
| SKU | Unit Size | Price |
|---|---|---|
Select a unit size:
Selected References [{"pmid": 30377371, "intro": "This antibody has been successfully used in the following paper:", "title": "A high-throughput pipeline for validation of antibodies", "author": "Krzysztof Sikorski, Adi Mehta, Marit Inngjerdingen, Flourina Thakor, Simon Kling, Tomas Kalina, Tuula A. Nyman, Maria Ekman Stensland, Wei Zhou, Gustavo A. De Souza, Lars Holden, Jan Stuchly, Markus Templin and Fridtjof Lund-Johansen", "journal": "Nat Methods. 2018 Nov;15(11):909-912"}] |
Documents |





