Formulation Supplied at 0.5 mg/ml in Tris saline, 0.02% sodium azide, pH7.3 with 0.5% bovine serum albumin.
| |
Unit Size 100 µg | |
Storage Instructions Aliquot and store at -20°C. Minimize freezing and thawing. | |
Synonym / Alias Names FANCG|XRCC9|Fanconi anemia, complementation group G|FAG|DNA repair protein XRCC9|X-ray repair, complementing defective, in Chinese hamster, 9|X-ray repair complementing defective repair in Chinese hamster cells 9 | |
Accession ID NP_004620.1 | |
Blocking Peptide EBP06113 | |
Immunogen Peptide with sequence LEEFRTSLPKSCDL, from the C Terminus of the protein sequence according to NP_004620.1. | |
Peptide Sequence LEEFRTSLPKSCDL | |
Purification Method Purified from goat serum by ammonium sulphate precipitation followed by antigen affinity chromatography using the immunizing peptide. | |
Shipping Instructions Refrigerated | |
Predicted Species Human | |
Reactive Species Human | |
Human Gene ID 2189 | |
Product Grade ![]() | |
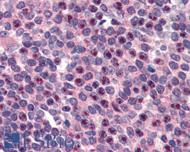
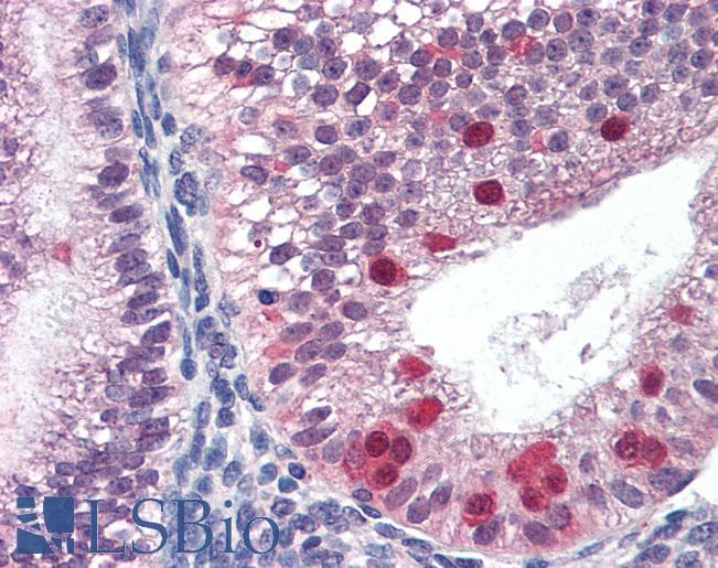
IHC Results Paraffin embedded Human Uterus and Spleen. Recommended concentration: 3µg/ml. | |
ELISA Detection Limit Antibody detection limit dilution 1:32000. | |
Western Blot Approx 70kDa band observed in lysates of cell line HeLa, and in nuclear lysates of cell line Jurkat (calculated MW of 68.6kDa according to NP_004620.1). In transfected HEK293 transiently expressing FANCG a band of approx. 65kDa is observed. This band is not observed in the non-transfected HEK293. Recommended concentration: 0.3-1µg/ml. | |
Application Type Pep-ELISA, WB, IHC |
Goat Anti-FANCG / XRCC9 Antibody
$431.00
| SKU | Unit Size | Price |
|---|---|---|
Select a unit size:
Documents |





