Formulation Supplied at 0.5 mg/ml in Tris saline, 0.02% sodium azide, pH7.3 with 0.5% bovine serum albumin.
| |
Unit Size 100 µg | |
Storage Instructions Aliquot and store at -20°C. Minimize freezing and thawing. | |
Synonym / Alias Names tumor necrosis factor receptor superfamily, member 6|tumor necrosis factor receptor superfamily member 6|apoptosis antigen 1|OTTHUMP00000059646|OTTHUMP00000020051|OTTHUMP00000020046|OTTHUMP00000020045|Fas antigen|Fas AMA|CD95 antigen|APO-1 cell surface antigen|TNFRSF6|FASTM|FAS1|CD95|APT1|APO-1|ALPS1A|Fas (TNF receptor superfamily, member 6)|FAS | |
Accession ID NP_000034.1; NP_690610.1; NP_690611.1 | |
Blocking Peptide EBP09626 | |
Immunogen Peptide with sequence KTCRKHRKENQGSH, from the internal region of the protein sequence according to NP_000034.1; NP_690610.1; NP_690611.1. | |
Product Comments This antibody is expected to recognize reported isoforms 1 (NP_000034.1), 2 (NP_690610.1) and 3 (NP_690611.1). | |
Peptide Sequence KTCRKHRKENQGSH | |
Purification Method Purified from goat serum by ammonium sulphate precipitation followed by antigen affinity chromatography using the immunizing peptide. | |
Shipping Instructions Refrigerated | |
Predicted Species Human | |
Reactive Species Human | |
Human Gene ID 355 | |
Product Grade ![]() | |
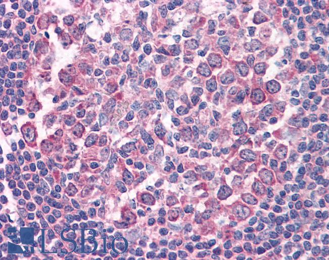
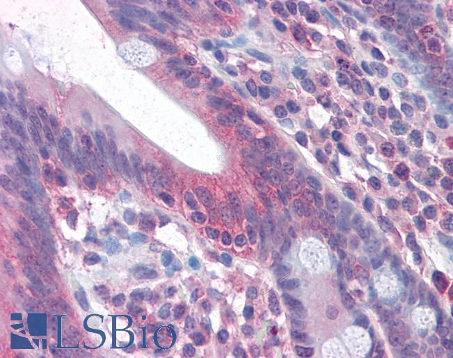
IHC Results Paraffin embedded Human Tonsil and Small Intestine. Recommended concentration: 3.75µg/ml. | |
ELISA Detection Limit Antibody detection limit dilution 1:32000. | |
Western Blot Approx 37kDa band observed in lysates of cell line MOLT4 (calculated MW of 37.7kDa according to NP_000034.1). Recommended concentration: 0.1-0.3µg/ml. Primary incubation was 1 hour. | |
Application Type Pep-ELISA, WB, IHC |
Goat Anti-FAS / CD95 Antibody
$431.00
| SKU | Unit Size | Price |
|---|---|---|
Select a unit size:
Documents |



