Formulation Supplied at 0.5 mg/ml in Tris saline, 0.02% sodium azide, pH7.3 with 0.5% bovine serum albumin.
| |
Unit Size 100 µg | |
Storage Instructions Aliquot and store at -20°C. Minimize freezing and thawing. | |
Synonym / Alias Names FBXL3|F-box and leucine-rich repeat protein 3|FBL3|FBL3A|FBXL3A|F-box and leucine-rich repeat protein 3A|F-box protein Fbl3a | |
Accession ID NP_036290.1 | |
Blocking Peptide EBP07392 | |
Immunogen Peptide with sequence KRGGRDSDRNSSEE-C, from the N Terminus of the protein sequence according to NP_036290.1. | |
Peptide Sequence KRGGRDSDRNSSEE-C | |
Purification Method Purified from goat serum by ammonium sulphate precipitation followed by antigen affinity chromatography using the immunizing peptide. | |
Shipping Instructions Refrigerated | |
Predicted Species Human, Mouse, Rat, Dog, Pig | |
Reactive Species Human | |
Human Gene ID 26224 | |
Product Grade ![]() | |
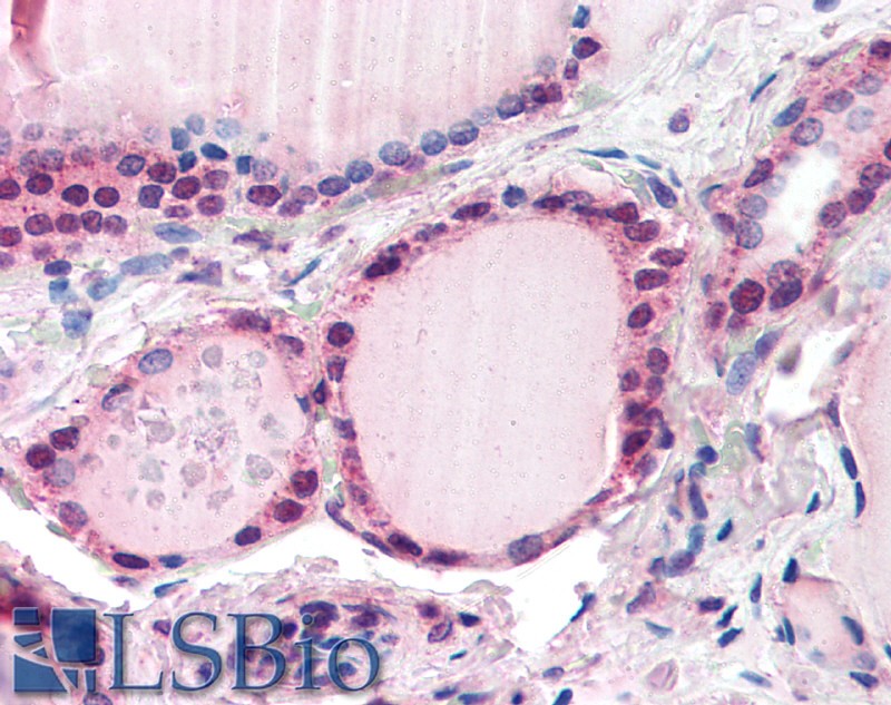
IHC Results Paraffin embedded Human Thyroid. Recommended concentration: 5µg/ml. | |
ELISA Detection Limit Antibody detection limit dilution 1:32000. | |
Western Blot Approx 50-55kDa band observed in Human Adipose lysates (calculated MW of 48.7kDa according to NP_036290.1). Recommended concentration: 1-3µg/ml. | |
Application Type Pep-ELISA, WB, IHC |
Goat Anti-FBXL3 Antibody
$431.00
| SKU | Unit Size | Price |
|---|---|---|
Select a unit size:
Documents |


