Formulation Supplied at 0.5 mg/ml in Tris saline, 0.02% sodium azide, pH7.3 with 0.5% bovine serum albumin.
| |
Unit Size 100 µg | |
Storage Instructions Aliquot and store at -20°C. Minimize freezing and thawing. | |
Synonym / Alias Names F-box and WD repeat domain containing 2|F-box protein Fbw2|Md6|MGC117371|Fwd2|FBW2|F-box and WD-40 domain protein 2|FBXW2 | |
Accession ID NP_036296.2 | |
Blocking Peptide EBP06064 | |
Immunogen Peptide with sequence C-KRGSSFLAGEHPG, from the C Terminus of the protein sequence according to NP_036296.2. | |
Peptide Sequence C-KRGSSFLAGEHPG | |
Purification Method Purified from goat serum by ammonium sulphate precipitation followed by antigen affinity chromatography using the immunizing peptide. | |
Shipping Instructions Refrigerated | |
Predicted Species Human, Mouse, Rat, Dog, Pig, Cow | |
Reactive Species Human, Mouse, Rat | |
Human Gene ID 26190 | |
Product Grade ![]() | |
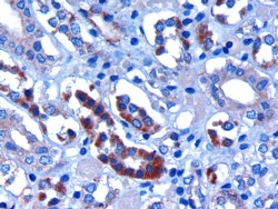
IHC Results In paraffin embedded Human Kidney, shows cytoplasmic staining of epithelial cells in some renal tubules. Recommended concentration, 2-3µg/ml. An anonymous customer found positive results in IHC on Mouse kidney tissue. An anonymous customer found positive results in IHC on Rat kidney tissue. | |
ELISA Detection Limit Antibody detection limit dilution 1:128000. | |
Western Blot Approx 48kDa band observed in Human Kidney lysates (calculated MW of 48.0kDa according to NP_036296.1). Recommended concentration: 0.3-1.5µg/ml. A stronger band of unknown identity was also consistently observed at appr. 30kDa - both bands were successfully blocked by incubation with the immunising peptide. | |
Application Type Pep-ELISA, WB, IHC |
Goat Anti-FBXW2 Antibody
$431.00
| SKU | Unit Size | Price |
|---|---|---|
Select a unit size:
Documents |


