Formulation Supplied at 0.5 mg/ml in Tris saline, 0.02% sodium azide, pH7.3 with 0.5% bovine serum albumin.
| |
Unit Size 100 µg | |
Storage Instructions Aliquot and store at -20°C. Minimize freezing and thawing. | |
Synonym / Alias Names fasciculation and elongation protein zeta 1 (zygin I)|zygin 1|FEZ1 | |
Accession ID NP_005094.1 | |
Blocking Peptide EBP07508 | |
Immunogen Peptide with sequence C-QNKQKEQRELMKK, from the internal region of the protein sequence according to NP_005094.1. | |
Product Comments This antibody is expected to recognize isoform 1 (NP_005094.1) only. | |
Peptide Sequence C-QNKQKEQRELMKK | |
Purification Method Purified from goat serum by ammonium sulphate precipitation followed by antigen affinity chromatography using the immunizing peptide. | |
Shipping Instructions Refrigerated | |
Predicted Species Human, Mouse, Rat, Dog | |
Reactive Species Human, Rat | |
Human Gene ID 9638 | |
Mouse Gene ID 235180 | |
Rat Gene ID 81730 | |
Product Grade ![]() | |
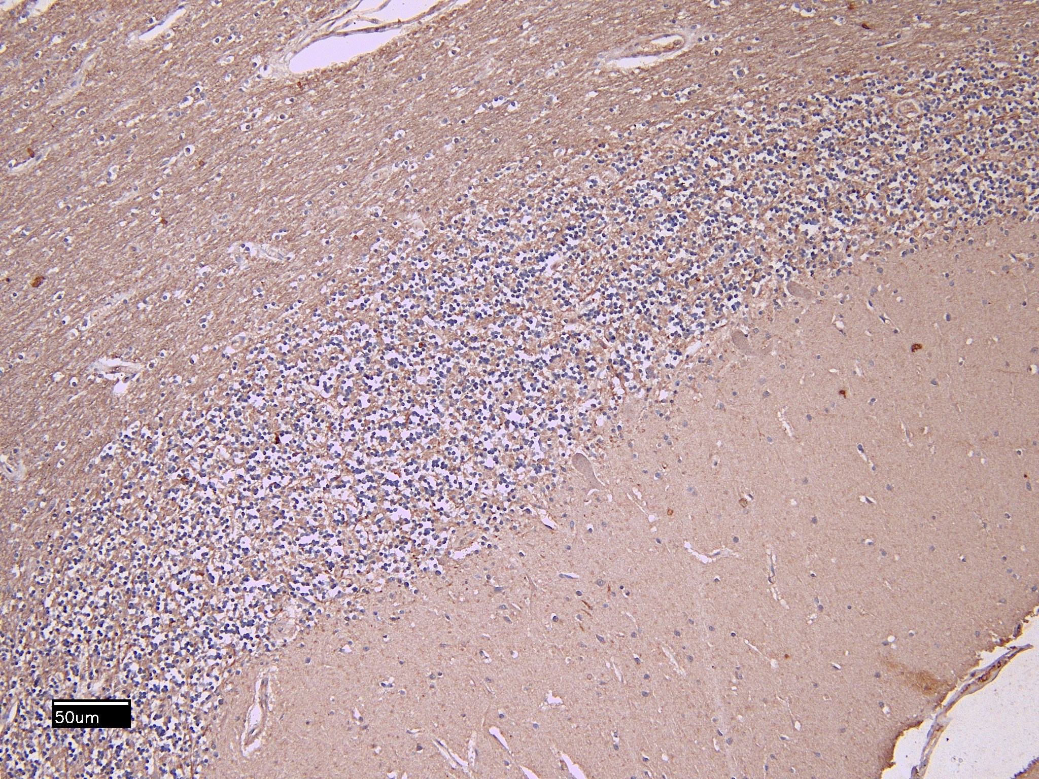
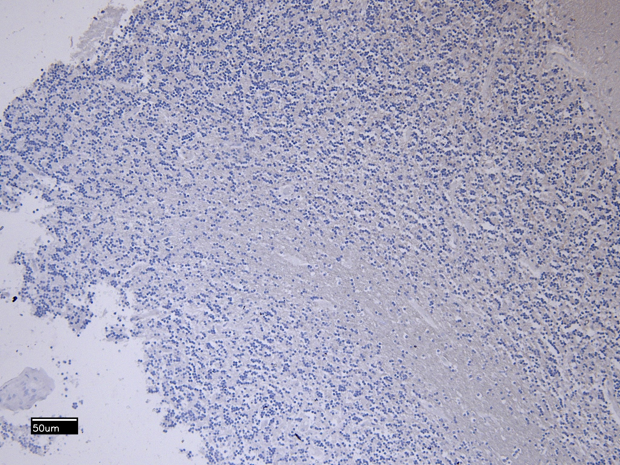
IHC Results Paraffin embedded Human Brain (Cerebellum). Recommended concentration: 5-8µg/ml. | |
ELISA Detection Limit Antibody detection limit dilution 1:64000. | |
Western Blot Approx 75kDa band observed in lysates of cell line Kelly, ans in Rat Brain lysates (calculated MW of 45.1kDa according to human NP_005094.1 and 45.2kDa according to Rat NP_112328.1). This molecular weight is routinely observed by other sources and was successfully blocked by incubation with the immunising peptide. Recommended concentration:0.1-0.3g/ml. Primary incubation 1 hour at room temperature. | |
Application Type Pep-ELISA, WB, IHC |
Goat Anti-FEZ1 / Zygin 1 Antibody
$431.00
| SKU | Unit Size | Price |
|---|---|---|
Select a unit size:
Documents |




