Formulation Supplied at 0.5 mg/ml in Tris saline, 0.02% sodium azide, pH7.3 with 0.5% bovine serum albumin.
| |
Unit Size 100 µg | |
Storage Instructions Aliquot and store at -20°C. Minimize freezing and thawing. | |
Synonym / Alias Names fibrinogen, A alpha polypeptide|Fib2|fibrinogen alpha chain|FGA | |
Accession ID NP_000499.1; NP_068657.1 | |
Blocking Peptide EBP12376 | |
Immunogen Peptide with sequence C-STSYNRGDSTFES, from the internal region (near C terminus) of the protein sequence according to NP_000499.1; NP_068657.1. | |
Product Comments This antibody is expected to recognize both reported isoforms (NP_000499.1; NP_068657.1). | |
Peptide Sequence C-STSYNRGDSTFES | |
Purification Method Purified from goat serum by ammonium sulphate precipitation followed by antigen affinity chromatography using the immunizing peptide. | |
Shipping Instructions Refrigerated | |
Predicted Species Human | |
Reactive Species Human | |
Human Gene ID 2243 | |
Product Grade ![]() | |
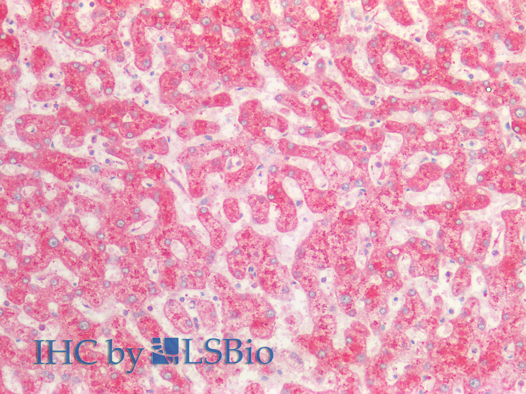
IHC Results Paraffin embedded Human Liver. Recommended concentration: 5µg/ml. | |
ELISA Detection Limit Antibody detection limit dilution 1:32000. | |
Western Blot Approx 75kDa band observed in Human Platelets lysates (calculated MW of 69.8kDa according to NP_068657.1). Recommended concentration: 0.01-0.03µg/ml. | |
Application Type Pep-ELISA, WB, IHC |
Goat Anti-fibrinogen alpha chain Antibody
$431.00
| SKU | Unit Size | Price |
|---|---|---|
Select a unit size:
Documents |


