Formulation Supplied at 0.5 mg/ml in Tris saline, 0.02% sodium azide, pH7.3 with 0.5% bovine serum albumin.
| |
Unit Size 100 µg | |
Storage Instructions Aliquot and store at -20°C. Minimize freezing and thawing. | |
Synonym / Alias Names five-lipoxygenase activating protein|MK-886-binding protein|arachidonate 5-lipoxygenase-activating protein|FLAP|ALOX5AP | |
Accession ID NP_001620.2; NP_001191335.1 | |
Blocking Peptide EBP07434 | |
Immunogen Peptide with sequence C-HKVEHESRTQNGR, from the internal region of the protein sequence according to NP_001620.2; NP_001191335.1. | |
Product Comments This antibody is expected to recognize both reported isoforms (NP_001620.2; NP_001191335.1). | |
Peptide Sequence C-HKVEHESRTQNGR | |
Purification Method Purified from goat serum by ammonium sulphate precipitation followed by antigen affinity chromatography using the immunizing peptide. | |
Shipping Instructions Refrigerated | |
Predicted Species Human, Dog | |
Reactive Species Human | |
Human Gene ID 241 | |
Product Grade ![]() | |
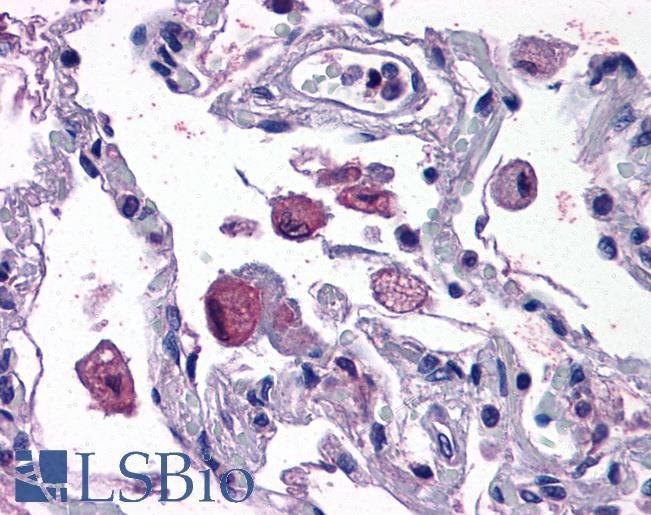
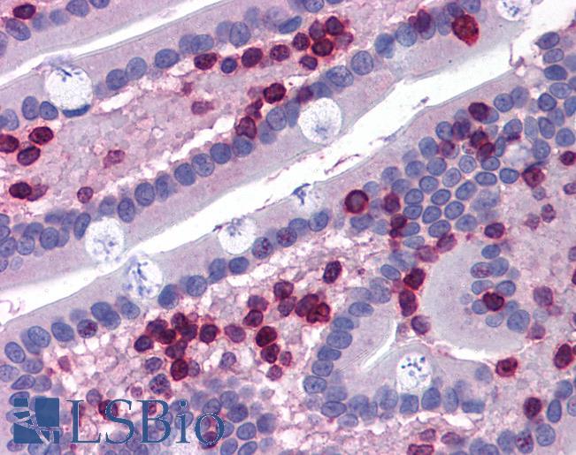
IHC Results In paraffin embedded Human Spleen shows staining of select splenocytes. Paraffin embedded Human Lung and Small Intestine. Recommended concentration: 3.75µg/ml. | |
ELISA Detection Limit Antibody detection limit dilution 1:128000. | |
Western Blot Approx 16kDa band observed in lysates of U937 and of Peripheral Blood Mononucleocytes (calculated MW of 18.2kDa according to NP_001620.2). Recommended concentration: 0.1-0.3µg/ml. Primary incubation was 1 hour. | |
Application Type Pep-ELISA, WB, IHC |
Goat Anti-FLAP / ALOX5AP (internal) Antibody
$431.00
| SKU | Unit Size | Price |
|---|---|---|
Select a unit size:
Documents |




