Formulation Supplied at 0.5 mg/ml in Tris saline, 0.02% sodium azide, pH7.3 with 0.5% bovine serum albumin.
| |
Unit Size 100 µg | |
Storage Instructions Aliquot and store at -20°C. Minimize freezing and thawing. | |
Synonym / Alias Names MGC87458|FRAXA|FMRP|fragile X mental retardation 1|FMR1 | |
Accession ID NP_002015.1 | |
Blocking Peptide EBP09362 | |
Immunogen Peptide with sequence C-NPNKPATKDTFHKIK, from the internal region of the protein sequence according to NP_002015.1. | |
Peptide Sequence C-NPNKPATKDTFHKIK | |
Purification Method Purified from goat serum by ammonium sulphate precipitation followed by antigen affinity chromatography using the immunizing peptide. | |
Shipping Instructions Refrigerated | |
Predicted Species Human, Rat | |
Reactive Species Human | |
Human Gene ID 2332 | |
Rat Gene ID 24948 | |
Product Grade ![]() | |
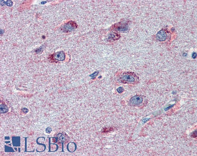
IHC Results Paraffin embedded Human Brain (Cortex) and Placenta. Recommended concentration: 2.5µg/ml. | |
ELISA Detection Limit Antibody detection limit dilution 1:32000. | |
Western Blot Approx 70kDa band observed in lysates of cell lines HeLa, Jurkat and Kelly (calculated MW of 71.2kDa according to NP_002015.1). Recommended concentration: 0.3-1µg/ml. | |
Application Type Pep-ELISA, WB, IHC |
Goat Anti-FMR1 (aa116-130) Antibody
$431.00
| SKU | Unit Size | Price |
|---|---|---|
Select a unit size:
Documents |



