Formulation Supplied at 0.5 mg/ml in Tris saline, 0.02% sodium azide, pH7.3 with 0.5% bovine serum albumin.
| |
Unit Size 100 µg | |
Storage Instructions Aliquot and store at -20°C. Minimize freezing and thawing. | |
Synonym / Alias Names transcription factor 3B|TCF-3B|HNF-3-beta|HNF-3B|forkhead box protein A2|hepatocyte nuclear factor 3, beta|hepatic nuclear factor-3-beta|MGC19807|TCF3B|forkhead box A2|HNF3B|FOXA2 | |
Accession ID NP_068556.2; NP_710141.1 | |
Blocking Peptide EBP06000 | |
Immunogen Peptide with sequence C-GVYSRPIMNSS, from the C Terminus of the protein sequence according to NP_068556.2; NP_710141.1. | |
Product Comments This antibody is expected to recognise both reported isoforms: NP_068556.2; NP_710141.1 | |
Peptide Sequence C-GVYSRPIMNSS | |
Purification Method Purified from goat serum by ammonium sulphate precipitation followed by antigen affinity chromatography using the immunizing peptide. | |
Shipping Instructions Refrigerated | |
Predicted Species Human, Mouse, Rat | |
Reactive Species Human, Rat | |
Human Gene ID 3170 | |
Mouse Gene ID 15376 | |
Rat Gene ID 25099 | |
Product Grade ![]() | |
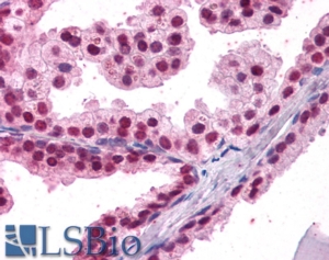
IHC Results In paraffin embedded Human Prostate shows nuclear staining in the secretory cells of the gland. Recommended concentration: 4-8µg/ml. | |
ELISA Detection Limit Antibody detection limit dilution 1:4000. | |
Western Blot Approx 60kDa band observed in Human Liver and Rat Lung lysates (calculated MW of 48.3kDa according to Human NP_710141.1 and 48.5kDa according to Rat NP_036875.1). The observed molecular weight corresponds to earlier findings in literature (Wang et al, J Biol Chem. 2002 May 17;277(20):17564-70.; PMID: 11875061). Recommended concentration: 1-3µg/ml. Primary incubation was 1 hour. Preliminary testing was unsuccessful on Mouse Liver and Lung for this particular batch. | |
Application Type Pep-ELISA, WB, IHC |
Goat Anti-FOXA2 / HNF3B Antibody
$431.00
| SKU | Unit Size | Price |
|---|---|---|
Select a unit size:
Documents |



