Formulation Supplied at 0.5 mg/ml in Tris saline, 0.02% sodium azide, pH7.3 with 0.5% bovine serum albumin.
| |
Unit Size 100 µg | |
Storage Instructions Aliquot and store at -20°C. Minimize freezing and thawing. | |
Synonym / Alias Names POF3|Blepharophimosis, epicanthus inversus, and ptosis 1|blepharophimosis, epicanthus inversus and ptosis|forkhead transcription factor FOXL2|PINTO|BPES1|PFRK|forkhead box L2|BPES|FOXL2 | |
Accession ID NP_075555.1 | |
Blocking Peptide EBP06022 | |
Immunogen Peptide with sequence C-DSKTGALHSRLDL, from the C Terminus of the protein sequence according to NP_075555.1. | |
Peptide Sequence C-DSKTGALHSRLDL | |
Purification Method Purified from goat serum by ammonium sulphate precipitation followed by antigen affinity chromatography using the immunizing peptide. | |
Shipping Instructions Refrigerated | |
Predicted Species Human, Mouse, Rat, Cow | |
Reactive Species Human, Mouse | |
Human Gene ID 668 | |
Mouse Gene ID 26927 | |
Product Grade ![]() | |
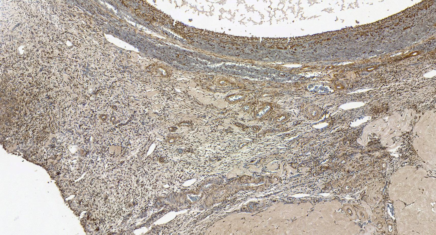
IHC Results Paraffin embedded Human Ovary. Recommended concentration: 5µg/ml. | |
ELISA Detection Limit Antibody detection limit dilution 1:64000. | |
Western Blot Approx. 50kDa band observed in Human and Mouse Ovary lysates (calculated MW of 38.8kDa according to Human NP_075555.1 and Mouse NP_036150.1). This molecular weight is observed by other Sources. Recommended concentration 1-3ug/ml. Primary incubation 1 hour at room temperature. | |
Application Type Pep-ELISA, WB, IHC |
Goat Anti-FOXL2 / BPES Antibody
$431.00
| SKU | Unit Size | Price |
|---|---|---|
Select a unit size:
Selected References [{"pmid": 24899573, "intro": "This antibody (previous batch) has been successfully used in IF on Mouse:", "title": "Simultaneous Gene Deletion of Gata4 and Gata6 Leads to Early Disruption of Follicular Development and Germ Cell Loss in the Murine Ovary.", "author": "Padua MB, Fox SC, Jiang T, Morse DA, Tevosian SG.", "journal": "Biol Reprod. 2014 Jun 4."}] |
Documents |



