Formulation Supplied at 0.5 mg/ml in Tris saline, 0.02% sodium azide, pH7.3 with 0.5% bovine serum albumin.
| |
Unit Size 100 µg | |
Storage Instructions Aliquot and store at -20°C. Minimize freezing and thawing. | |
Synonym / Alias Names trinucleotide repeat containing 10|speech and language disorder 1|forkhead/winged-helix transcription factor|CAG repeat protein 44|TNRC10|SPCH1|DKFZp686H1726|CAGH44|forkhead box P2|FOXP2 | |
Accession ID NP_055306.1; NP_683696.2; NP_683697.2; NP_683698.2; NP_001166237.1 | |
Blocking Peptide EBP07520 | |
Immunogen Peptide with sequence C-DEVEYQKRRSQKIT, from the internal region of the protein sequence according to NP_055306.1; NP_683696.2; NP_683697.2; NP_683698.2; NP_001166237.1. | |
Product Comments This antibody is expected to recognize isoform I (NP_055306.1), isoform II (NP_683696.2), isoform IV (NP_683698.2) and isoform V (NP_001166237.1). | |
Peptide Sequence C-DEVEYQKRRSQKIT | |
Purification Method Purified from goat serum by ammonium sulphate precipitation followed by antigen affinity chromatography using the immunizing peptide. | |
Shipping Instructions Refrigerated | |
Predicted Species Human, Mouse, Rat, Cat, Dog, Pig, Cow, Zebrafish | |
Reactive Species Human | |
Human Gene ID 93986 | |
Mouse Gene ID 114142 | |
Product Grade ![]() | |
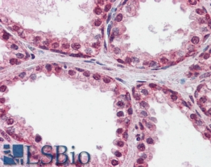
IHC Results Paraffin embedded Human Prostate and Placenta. Recommended concentration: 2.5µg/ml. | |
ELISA Detection Limit Antibody detection limit dilution 1:64000. | |
Western Blot Preliminary testing showed an approx 90kDa band in Human Cerebellum lysate and an approx 75kDa band in Rat Brain lysate after 0.3ug/ml staining. An additional band of unknown identity was also consistently observed at 28-30kDa and was successfully blocked by incubation with the immunising peptide. | |
Application Type Pep-ELISA, IHC |
Goat Anti-FOXP2 (internal) Antibody
$431.00
| SKU | Unit Size | Price |
|---|---|---|
Select a unit size:
Documents |


