Formulation Supplied at 0.5 mg/ml in Tris saline, 0.02% sodium azide, pH7.3 with 0.5% bovine serum albumin.
| |
Unit Size 100 µg | |
Storage Instructions Aliquot and store at -20°C. Minimize freezing and thawing. | |
Synonym / Alias Names frizzled 2|frizzled homolog 2 (Drosophila)|FZD2 | |
Usage Summary Immunofluorescence: Strong expression of the protein seen in the nuclei and cytoplasm of U2OS cells. Recommended concentration: 10µg/ml. | |
Accession ID NP_001457.1 | |
Blocking Peptide EBP08353 | |
Immunogen Peptide with sequence RYATLEHPFHCPR, from the internal region of the protein sequence according to NP_001457.1. | |
Peptide Sequence RYATLEHPFHCPR | |
Purification Method Purified from goat serum by ammonium sulphate precipitation followed by antigen affinity chromatography using the immunizing peptide. | |
Shipping Instructions Refrigerated | |
Predicted Species Human, Mouse, Rat | |
Reactive Species Human | |
Human Gene ID 2535 | |
Mouse Gene ID 57265 | |
Rat Gene ID 64512 | |
Product Grade ![]() | |
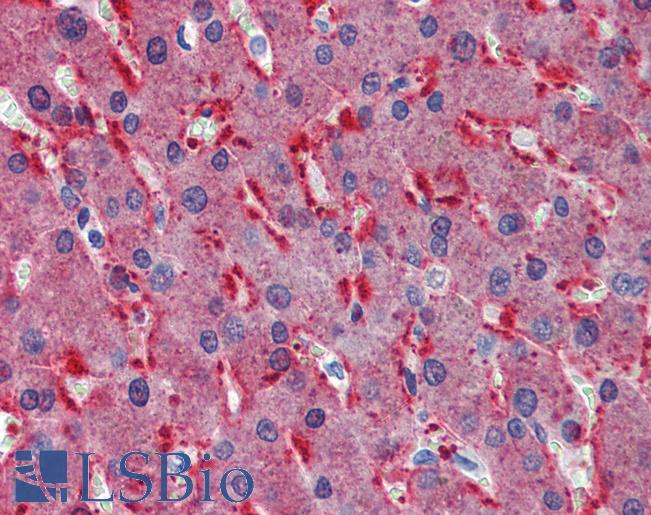
IHC Results In paraffin embedded Human Thyroid Gland shows cytoplasm and membranous staining in epithelial cells of the follicles. Recommended concentration: 2-5µg/ml. Paraffin embedded Human Liver. Recommended concentration: 2.5µg/ml. | |
ELISA Detection Limit Antibody detection limit dilution 1:64000. | |
Western Blot Approx 60-65kDa band observed in Human Heart and Placenta lysates (calculated MW of 63.6 kDa according to NP_001457.1) An additional band of approx. 24kDa was also observed in some lysates which was successfully blocked by incubation with the immunizing peptide. Recommended concentration: 0.03-0.1µg/ml. Primary incubation 1 hour at room temperature. | |
Application Type Pep-ELISA, WB, IF, IHC |
Goat Anti-Frizzled 2 Antibody
$431.00
| SKU | Unit Size | Price |
|---|---|---|
Select a unit size:
Selected References [{"pmid": 23748645, "intro": "This antibody has been successfully used in IHC on Human:", "title": "Immunoreactivity of Wnt5a, Fzd2, Fzd6, and Ryk in glioblastoma: evaluative methodology for DAB chromogenic immunostaining.", "author": "Hirano H, Yonezawa H, Yunoue S, Habu M, Uchida H, Yoshioka T, Kishida S, Kishida M, Oyoshi T, Fujio S, Sugata S, Yamahata H, Hanaya R, Arita K.", "journal": "Brain Tumor Pathol. 2014 Apr;31(2):85-93."}, {"pmid": 35724395, "intro": "This antibody has been successfully used in IHC:", "title": "Case report: molecular analysis of congenital glioblastoma in a newborn", "author": "Alexandra Maráczi, Béla Kajtár, Ádám Nagy, Eszter Györke, Petra Görög, Józsefné Kurucz, Bernadette Kálmán, Ferenc Garzuly", "journal": "Magy Onkol. 2022 Jun 20;66(2):162-167."}] |
Documents |




