Formulation Supplied at 0.5 mg/ml in Tris saline, 0.02% sodium azide, pH7.3 with 0.5% bovine serum albumin.
| |
Unit Size 100 µg | |
Storage Instructions Aliquot and store at -20°C. Minimize freezing and thawing. | |
Synonym / Alias Names proliferation-inducing protein 15|placenta immunoregulatory factor|apoferritin|PLIF|PIG15|MGC104426|FTHL6|FTH|FHC|ferritin, heavy polypeptide 1|FTH1 | |
Accession ID NP_002023.2 | |
Blocking Peptide EBP09091 | |
Immunogen Peptide with sequence C-DKHTLGDSDNES, from the C Terminus of the protein sequence according to NP_002023.2. | |
Peptide Sequence C-DKHTLGDSDNES | |
Purification Method Purified from goat serum by ammonium sulphate precipitation followed by antigen affinity chromatography using the immunizing peptide. | |
Shipping Instructions Refrigerated | |
Predicted Species Human | |
Reactive Species Human | |
Human Gene ID 2495 | |
Product Grade ![]() | |
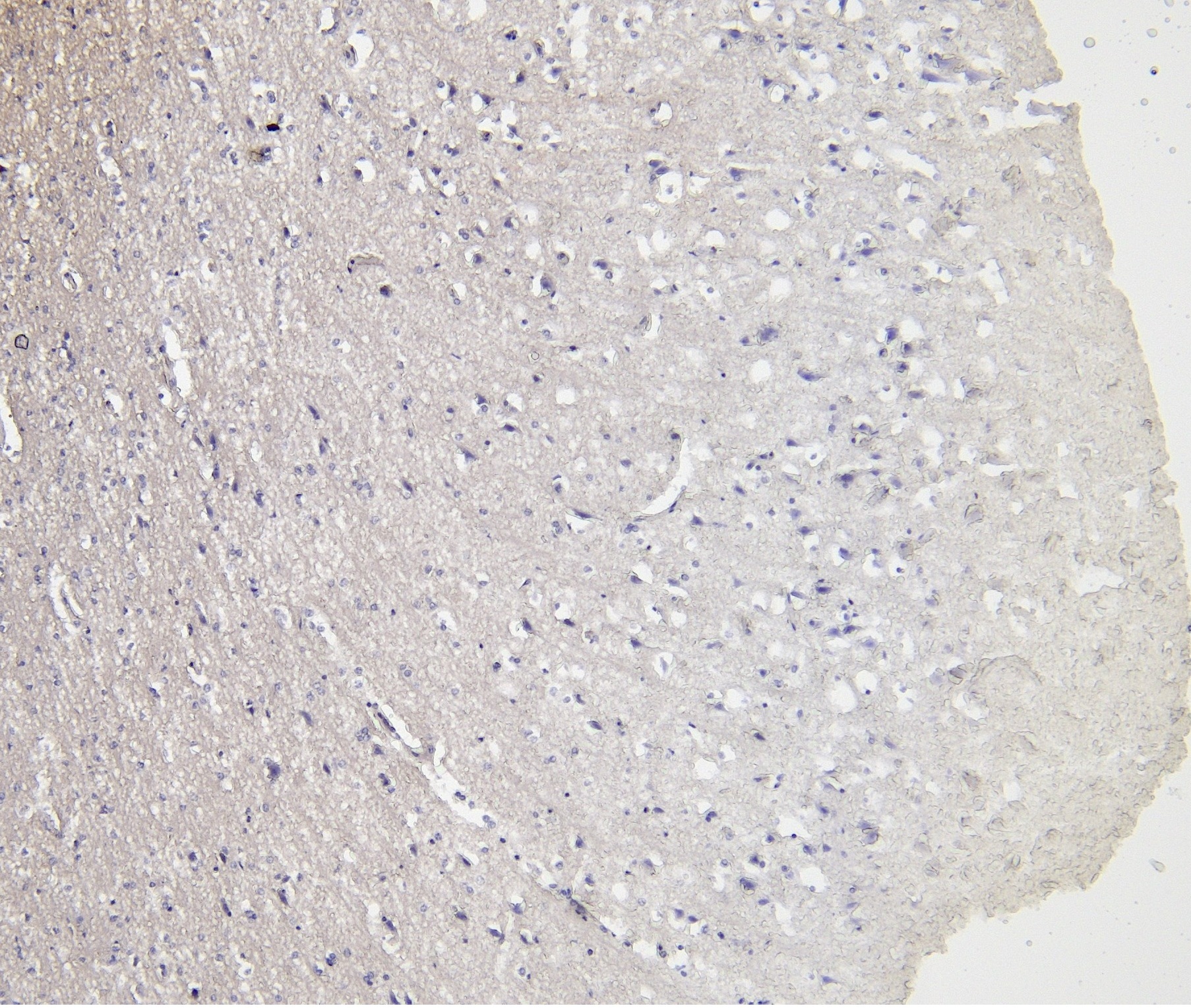
IHC Results Paraffin embedded Human Cerebral Cortex. Recommended concentration: 5µg/ml. | |
ELISA Detection Limit Antibody detection limit dilution 1:2000. | |
Western Blot Approx 20kDa band observed in Human Placenta lysates (calculated MW of 21.2kDa according to NP_002023.2). Recommended concentration: 0.3-1µg/ml. Primary incubation was 1 hour. | |
Application Type Pep-ELISA, WB, IHC |
Goat Anti-FTH1 Antibody
$431.00
| SKU | Unit Size | Price |
|---|---|---|
Select a unit size:
Documents |



