Formulation Supplied at 0.5 mg/ml in Tris saline, 0.02% sodium azide, pH7.3 with 0.5% bovine serum albumin.
| |
Unit Size 100 µg | |
Storage Instructions Aliquot and store at -20°C. Minimize freezing and thawing. | |
Synonym / Alias Names 9530027K12Rik|D3Ertd330e|far upstream element (FUSE) binding protein 1|far upstream element (FUSE) binding protein 4|far upstream element-binding protein 1|FBP|Fubp|Fubp1|Fubp4|FUSE-binding protein 1 | |
Usage Summary Additional validation: This antibody has been successfully used in the following paper: Sikorski et al. (2018) PMID: 30377371. | |
Accession ID NP_476513.2 | |
Blocking Peptide EBP11620 | |
Immunogen Peptide with sequence C-DQIVEKGRPAPGFHH, from the internal region of the protein sequence according to NP_476513.2. | |
Peptide Sequence C-DQIVEKGRPAPGFHH | |
Purification Method Purified from goat serum by ammonium sulphate precipitation followed by antigen affinity chromatography using the immunizing peptide. | |
Shipping Instructions Refrigerated | |
Predicted Species Human, Mouse, Rat, Dog, Pig, Cow | |
Reactive Species Human | |
Human Gene ID 8880 | |
Mouse Gene ID 51886 | |
Rat Gene ID 654496 | |
Product Grade ![]() | |
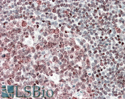
IHC Results In paraffin embedded Human Tonsil shows staining in a selection of cells mostly outside the germinal centre. Recommended concentration: 4-8µg/ml. | |
ELISA Detection Limit Antibody detection limit dilution 1:128000. | |
Western Blot Approx 75kDa band observed in lysates of cell line Jurkat (calculated MW of 67.4kDa according to NP_476513.2). Recommended concentration: 0.03-0.1µg/ml. | |
Application Type Pep-ELISA, WB, IHC |
Goat Anti-Fubp1 (mouse, aa160-174) Antibody
$431.00
| SKU | Unit Size | Price |
|---|---|---|
Select a unit size:
Selected References [{"pmid": 30377371, "intro": "This antibody has been successfully used in the following paper:", "title": "A high-throughput pipeline for validation of antibodies", "author": "Krzysztof Sikorski, Adi Mehta, Marit Inngjerdingen, Flourina Thakor, Simon Kling, Tomas Kalina, Tuula A. Nyman, Maria Ekman Stensland, Wei Zhou, Gustavo A. De Souza, Lars Holden, Jan Stuchly, Markus Templin and Fridtjof Lund-Johansen", "journal": "Nat Methods. 2018 Nov;15(11):909-912"}] |
Documents |


