Formulation Supplied at 0.5 mg/ml in Tris saline, 0.02% sodium azide, pH7.3 with 0.5% bovine serum albumin.
| |
Unit Size 100 µg | |
Storage Instructions Aliquot and store at -20°C. Minimize freezing and thawing. | |
Synonym / Alias Names G6PD|glucose-6-phosphate dehydrogenase|glucose-6-phosphate 1-dehydrogenase|G6PD1|glucose-6-phosphate dehydrogenase|G6PD | |
Usage Summary Additional validation: This antibody has been successfully used in the following paper: Sikorski et al. (2018) PMID: 30377371. | |
Accession ID NP_000393.4 ; NP_001035810.1 | |
Blocking Peptide EBP07841 | |
Immunogen Peptide with sequence C-STNSDDVRDEKVK, from the internal region of the protein sequence according to NP_000393.4 ; NP_001035810.1. | |
Product Comments This antibody is expected to recognise both reported isoforms (NP_000393.4 and NP_001035810.1). | |
Peptide Sequence C-STNSDDVRDEKVK | |
Purification Method Purified from goat serum by ammonium sulphate precipitation followed by antigen affinity chromatography using the immunizing peptide. | |
Shipping Instructions Refrigerated | |
Predicted Species Human, Mouse, Rat, Dog | |
Reactive Species Human | |
Human Gene ID 2539 | |
Mouse Gene ID 14381 | |
Rat Gene ID 24377 | |
Product Grade ![]() | |
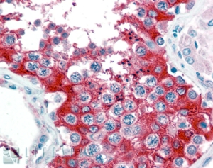
IHC Results Paraffin embedded Human Testis and Spleen. Recommended concentration: 2.5µg/ml. | |
ELISA Detection Limit Antibody detection limit dilution 1:32000. | |
Western Blot Approx 55-60kDa double band observed in Human Testis, Thyroid and Tonsil lysates (calculated MW of 62.5kDa according to NP_000393.4 and 59.3kDa accordiong to NP_001035810.1). Recommended concentration: 0.03-0.1µg/ml. Primary incubation was 1 hour. | |
Application Type Pep-ELISA, WB, IHC |
Goat Anti-G6PD (aa 308 – 320) Antibody
$431.00
| SKU | Unit Size | Price |
|---|---|---|
Select a unit size:
Selected References [{"pmid": 30377371, "intro": "This antibody has been successfully used in the following paper:", "title": "A high-throughput pipeline for validation of antibodies", "author": "Krzysztof Sikorski, Adi Mehta, Marit Inngjerdingen, Flourina Thakor, Simon Kling, Tomas Kalina, Tuula A. Nyman, Maria Ekman Stensland, Wei Zhou, Gustavo A. De Souza, Lars Holden, Jan Stuchly, Markus Templin and Fridtjof Lund-Johansen", "journal": "Nat Methods. 2018 Nov;15(11):909-912"}, {"pmid": 35065072, "intro": "This antibody has been successfully used in the following paper:", "title": "Stabilization of glucose-6-phosphate dehydrogenase oligomers enhances catalytic activity and stability of clinical variants.", "author": "Adriana Ann Garcia, Irimpan I. Mathews, Naoki Horikoshi, Tsutomu Matsui, Manat Kaur, Soichi Wakatsuki, and Daria Mochly-Rosen", "journal": "J Biol Chem. 2022 Mar; 298(3): 101610."}] |
Documents |



