Formulation Supplied at 0.5 mg/ml in Tris saline, 0.02% sodium azide, pH7.3 with 0.5% bovine serum albumin.
| |
Unit Size 100 µg | |
Storage Instructions Aliquot and store at -20°C. Minimize freezing and thawing. | |
Synonym / Alias Names gamma-aminobutyric acid A receptor, alpha 4|gamma-aminobutyric acid (GABA) A receptor, alpha 4|GABRA4 | |
Accession ID NP_000800.2 | |
Blocking Peptide EBP09101 | |
Immunogen Peptide with sequence C-EKAKRKTSKPPQE, from the internal region of the protein sequence according to NP_000800.2. | |
Peptide Sequence C-EKAKRKTSKPPQE | |
Purification Method Purified from goat serum by ammonium sulphate precipitation followed by antigen affinity chromatography using the immunizing peptide. | |
Shipping Instructions Refrigerated | |
Predicted Species Human, Cow | |
Reactive Species Human | |
Human Gene ID 2557 | |
Product Grade ![]() | |
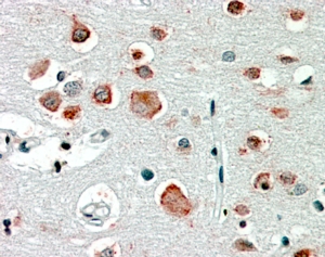
IHC Results In paraffin embedded Human Cortex shows patchy staining near or at the neuronal cell membrane.. Recommended concentration, 2-4µg/ml. | |
ELISA Detection Limit Antibody detection limit dilution 1:16000. | |
Western Blot Approx. 70kDa band observed in Human Brain (Cerebellum and Frontal Cortex) lysates (calculated MW of 61.6kDa according to NP_000800.2). Recommended concentration: 0.1-0.3µg/ml. | |
Application Type Pep-ELISA, WB, IHC |
Goat Anti-GABRA4 Antibody
$431.00
| SKU | Unit Size | Price |
|---|---|---|
Select a unit size:
Documents |


