Formulation Supplied at 0.5 mg/ml in Tris saline, 0.02% sodium azide, pH7.3 with 0.5% bovine serum albumin.
| |
Unit Size 100 µg | |
Storage Instructions Aliquot and store at -20°C. Minimize freezing and thawing. | |
Synonym / Alias Names GRIP coiled-coil protein GCC185, (Ran-binding protein 2-like 4)|GRIP and coiled-coil domain-containing 2|CTCL tumor antigen se1-1|CLL-associated antigen KW-11|KIAA0336|GCC185|GRIP and coiled-coil domain containing 2|GCC2 | |
Accession ID NP_055450.1; NP_852118.1 | |
Blocking Peptide EBP07992 | |
Immunogen Peptide with sequence C-QKLTNKNNKIED, from the internal region of the protein sequence according to NP_055450.1; NP_852118.1. | |
Product Comments This antibody is expected to recognise both reported isoforms (NP_055450.1and NP_852118.1). | |
Peptide Sequence C-QKLTNKNNKIED | |
Purification Method Purified from goat serum by ammonium sulphate precipitation followed by antigen affinity chromatography using the immunizing peptide. | |
Shipping Instructions Refrigerated | |
Predicted Species Human, Rat | |
Reactive Species Human | |
Human Gene ID 9648 | |
Product Grade ![]() | |
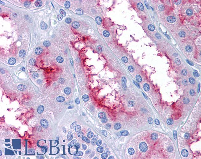
IHC Results Paraffin embedded Human Spleen, Small Intestine and Kidney. Recommended concentration: 3.75µg/ml. | |
ELISA Detection Limit Antibody detection limit dilution 1:16000. | |
Western Blot Preliminary experiments gave an approx 60kDa band in Human Lymph Node and Testis lysates after 0.03µg/ml antibody staining. Please note that currently we cannot find an explanation in the literature for the band we observe given the calculated size of 185kDa according to NP_055450.1 and of 196kDa according to NP_852118.1. The 60kDa band was successfully blocked by incubation with the immunizing peptide. | |
Application Type Pep-ELISA, IHC |
Goat Anti-GCC185 Antibody
$431.00
| SKU | Unit Size | Price |
|---|---|---|
Select a unit size:
Documents |



