Formulation Supplied at 0.5 mg/ml in Tris saline, 0.02% sodium azide, pH7.3 with 0.5% bovine serum albumin.
| |
Unit Size 100 µg | |
Storage Instructions Aliquot and store at -20°C. Minimize freezing and thawing. | |
Synonym / Alias Names transforming immortalized mammary oncogene|oncogene TIM rho guanine nucleotide exchange factor 5|guanine nucleotide regulatory protein TIM|TIM1|TIM|P60|Rho guanine nucleotide exchange factor (GEF) 5|ARHGEF5|DKFZp686N1969|GEF5 | |
Accession ID NP_005426.2 | |
Blocking Peptide EBP07114 | |
Immunogen Peptide with sequence C-DKEIDQNSQQEE, from the internal region of the protein sequence according to NP_005426.2. | |
Peptide Sequence C-DKEIDQNSQQEE | |
Purification Method Purified from goat serum by ammonium sulphate precipitation followed by antigen affinity chromatography using the immunizing peptide. | |
Shipping Instructions Refrigerated | |
Predicted Species Human | |
Reactive Species Human | |
Human Gene ID 7984 | |
Product Grade ![]() | |
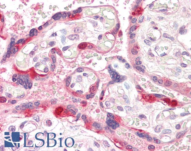
IHC Results Paraffin embedded Human Placenta. Recommended concentration: 3.75µg/ml. | |
ELISA Detection Limit Antibody detection limit dilution 1:16000. | |
Western Blot Approx 170kDa band observed in Human HeLa lysates (calculated MW of 177kDa according to NP_005426.2). Recommended concentration: 0.1-0.3µg/ml. | |
Application Type Pep-ELISA, WB, IHC |
Goat Anti-GEF5 Antibody
$431.00
| SKU | Unit Size | Price |
|---|---|---|
Select a unit size:
Documents |


