Formulation Supplied at 0.5 mg/ml in Tris saline, 0.02% sodium azide, pH7.3 with 0.5% bovine serum albumin.
| |
Unit Size 100 µg | |
Storage Instructions Aliquot and store at -20°C. Minimize freezing and thawing. | |
Synonym / Alias Names ghrelin/obestatin|ghrelin, growth hormone secretagogue receptor ligand|OTTHUMP00000207798|OTTHUMP00000207796|OTTHUMP00000207795|OTTHUMP00000207794;|ghrelin/obestatin preprohormone|obestatin|ghrelin/obestatin prepropeptide|preproghrelin|motilin-related peptide|ghrelin precursor|ghrelin|MTLRP|GHRL | |
Accession ID NP_057446.1; NP_001128413.1; NP_001128416.1; NP_001128417.1; NP_001128418.1 | |
Blocking Peptide EBP06876 | |
Immunogen Peptide with sequence C-QDILWEEAKEAPADK, from the C Terminus of the protein sequence according to NP_057446.1; NP_001128413.1; NP_001128416.1; NP_001128417.1; NP_001128418.1. | |
Product Comments This antibody is expected to recognise all reported isoforms. | |
Peptide Sequence C-QDILWEEAKEAPADK | |
Purification Method Purified from goat serum by ammonium sulphate precipitation followed by antigen affinity chromatography using the immunizing peptide. | |
Shipping Instructions Refrigerated | |
Predicted Species Human | |
Reactive Species Human, Rat | |
Human Gene ID 51738 | |
Product Grade ![]() | |
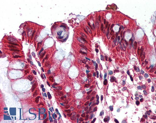
IHC Results In paraffin embedded Human Placenta shows staining of trophoblast cytoplasm. Recommended concentration: 2-5µg/ml. Paraffin embedded Human Colon. Recommended concentration: 2ug/ml. | |
ELISA Detection Limit Antibody detection limit dilution 1:8000. | |
Application Type Pep-ELISA, IHC, ICC |
Goat Anti-Ghrelin preproprotein Antibody
$431.00
| SKU | Unit Size | Price |
|---|---|---|
Select a unit size:
Selected References [{"pmid": 19540881, "intro": "This antibody has been successfully used in ICC on Rat:", "title": "Time-dependent changes in ghrelin-immunoreactivity in dissociated neuronal cultures of the newborn rat neocortex.", "author": "Stoyanova II, Wiertz RW, Rutten WL.", "journal": "Regul Pept. 2009 Nov 27;158(1-3):86-90."}] |
Documents |


