Formulation Supplied at 0.5 mg/ml in Tris saline, 0.02% sodium azide, pH7.3 with 0.5% bovine serum albumin.
| |
Unit Size 100 µg | |
Storage Instructions Aliquot and store at -20°C. Minimize freezing and thawing. | |
Synonym / Alias Names GLUR5|GRIK1|glutamate receptor, ionotropic, kainate 1|EAA3|EEA3|GLR5|excitatory amino acid receptor 3 | |
Accession ID NP_000821.1; NP_783300.1 | |
Blocking Peptide EBP08000 | |
Immunogen Peptide with sequence QCKQTHPTNSTS, from the internal region (near the C Terminus) of the protein sequence according to NP_000821.1; NP_783300.1. | |
Product Comments This antibody is expected to recognise both reported isoforms according to NP_000821.1 and NP_783300.1. | |
Peptide Sequence QCKQTHPTNSTS | |
Purification Method Purified from goat serum by ammonium sulphate precipitation followed by antigen affinity chromatography using the immunizing peptide. | |
Shipping Instructions Refrigerated | |
Predicted Species Human, Mouse, Rat | |
Reactive Species Human | |
Human Gene ID 2897 | |
Mouse Gene ID 14805 | |
Rat Gene ID 29559 | |
Product Grade ![]() | |
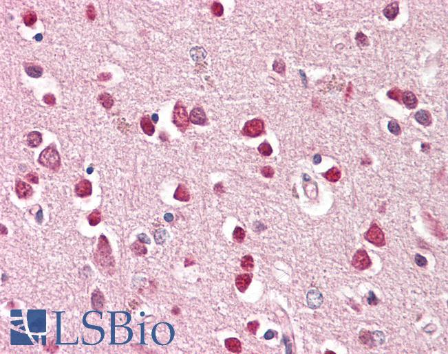
IHC Results Paraffin embedded Human Brain (Cortex). Recommended concentration: 3.75µg/ml. | |
ELISA Detection Limit Antibody detection limit dilution 1:8000. | |
Western Blot Approx 150kDa band observed in Human Brain (Cerebellum and Cerebral Cortex) lysates (calculated MW of 104kDa according to NP_000821.1). The observed molecular weight corresponds to earlier findings in literature with different antibodies (Christensen et al , J Neurosci. 2004 Oct 13;24(41):8986-93.; PMID: 15483117). Recommended concentration: 1-3µg/ml. Primary incubation was 1 hour. An additional very strong band of unknown identity was also consistently observed at 60kDa. This band was successfully blocked by incubation with the immunising peptide. | |
Application Type Pep-ELISA, WB, IHC |
Goat Anti-GLuR5 / GRIK1 Antibody
$431.00
| SKU | Unit Size | Price |
|---|---|---|
Select a unit size:
Documents |


