Formulation Supplied at 0.5 mg/ml in Tris saline, 0.02% sodium azide, pH7.3 with 0.5% bovine serum albumin.
| |
Unit Size 100 µg | |
Storage Instructions Aliquot and store at -20°C. Minimize freezing and thawing. | |
Synonym / Alias Names nucleostemin| nucleolar GTP-binding protein 3| novel nucleolar protein 47| guanine nucleotide-binding protein-like 3| estradiol-induced nucleotide binding protein| E2-induced gene 3 protein| NS| NNP47| E2IG3| C77032| guanine nucleotide binding protein-like 3 (nucleolar)|GNL3 | |
Accession ID NP_055181.3; NP_996561.1 | |
Blocking Peptide EBP12563 | |
Immunogen Peptide with sequence C-TENKAKSGKQNS, from the internal region of the protein sequence according to NP_055181.3; NP_996561.1. | |
Product Comments This antibody is expected to recognize both reported isoforms (NP_055181.3; NP_996561.1). Reported variants represent identical protein: NP_996561.1, NP_996562.1. | |
Peptide Sequence C-TENKAKSGKQNS | |
Purification Method Purified from goat serum by ammonium sulphate precipitation followed by antigen affinity chromatography using the immunizing peptide. | |
Shipping Instructions Refrigerated | |
Predicted Species Human | |
Reactive Species Human | |
Human Gene ID 26354 | |
Product Grade ![]() | |
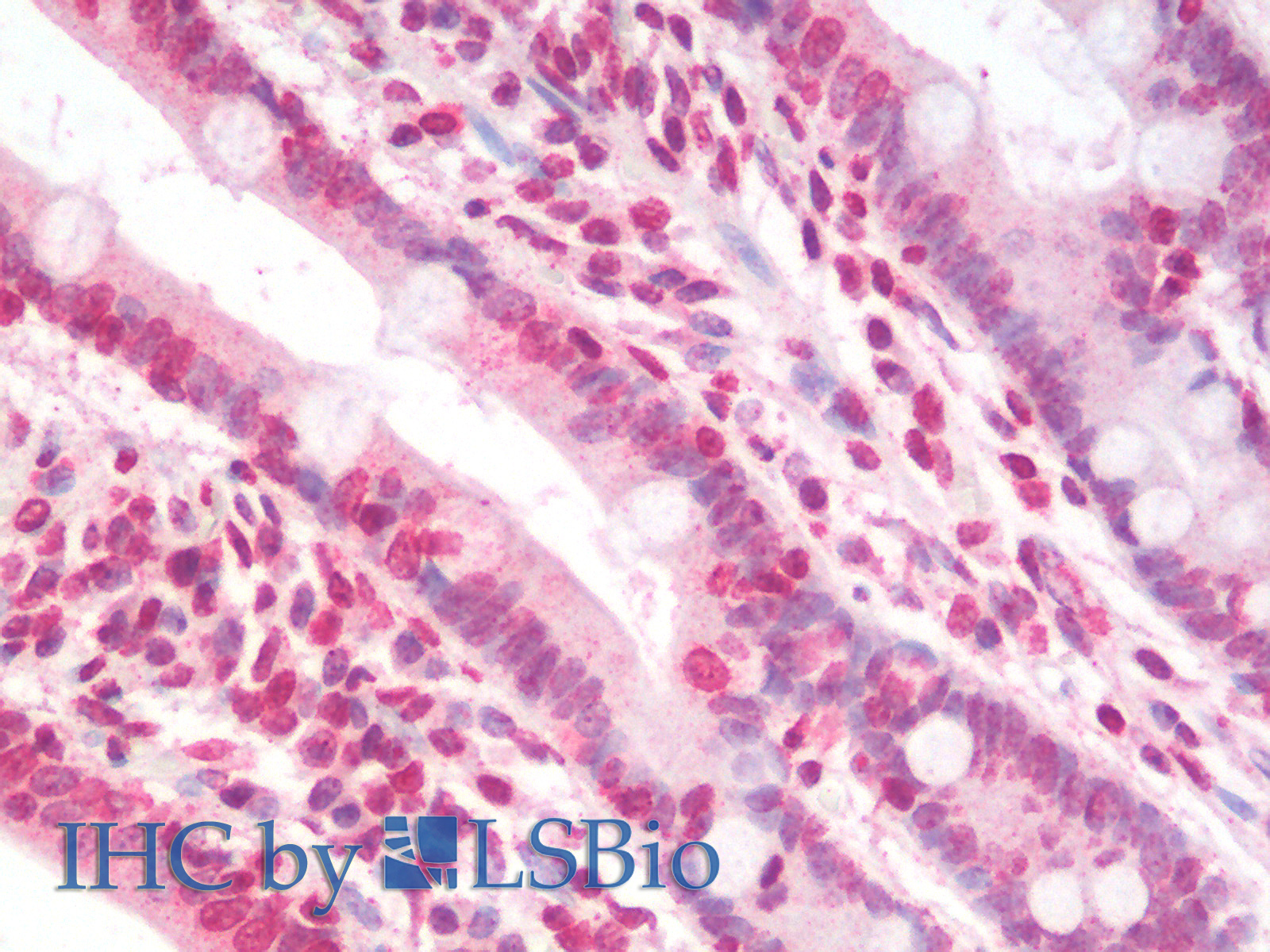
IHC Results Paraffin embedded Human Small Intestine. Recommended concentration: 5µg/ml. | |
ELISA Detection Limit Antibody detection limit dilution 1:128000. | |
Western Blot Approx 65kDa band observed in nuclear lysates of cell line K562 (calculated MW of 62.0kDa according to NP_055181.3). Recommended concentration: 0.03-0.1µg/ml. Primary incubation was 1 hour. | |
Application Type Pep-ELISA, WB, IHC |
Goat Anti-GNL3 (aa115-126) Antibody
$431.00
| SKU | Unit Size | Price |
|---|---|---|
Select a unit size:
Documents |


