Formulation Supplied at 0.5 mg/ml in Tris saline, 0.02% sodium azide, pH7.3 with 0.5% bovine serum albumin.
| |
Unit Size 100 µg | |
Storage Instructions Aliquot and store at -20°C. Minimize freezing and thawing. | |
Synonym / Alias Names growth-inhibiting protein 18|aspartate aminotransferase 1|GIG18|glutamic-oxaloacetic transaminase 1, soluble (aspartate aminotransferase 1)|GOT1 | |
Accession ID NP_002070.1 | |
Blocking Peptide EBP08213 | |
Immunogen Peptide with sequence C-RSYRYWDAEKR, from the internal region of the protein sequence according to NP_002070.1. | |
Peptide Sequence C-RSYRYWDAEKR | |
Purification Method Purified from goat serum by ammonium sulphate precipitation followed by antigen affinity chromatography using the immunizing peptide. | |
Shipping Instructions Refrigerated | |
Predicted Species Human, Rat | |
Reactive Species Human | |
Human Gene ID 2805 | |
Rat Gene ID 24401 | |
Product Grade ![]() | |
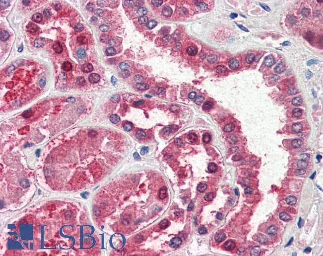
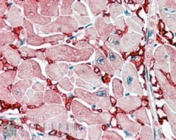
IHC Results In paraffin embedded Human Heart shows strong staining of the capillary network between the myocardial fibres in transverse secion. Recommended concentration: 2-3µg/ml. Paraffin embedded Human Kidney. Recommended concentration: 5µg/ml. | |
ELISA Detection Limit Antibody detection limit dilution 1:4000. | |
Western Blot Approx 40kDa band observed in Human Brain (Cerebellum), Liver and Skeletal Muscle lysates (calculated MW of 46.2kDa according to NP_002070.1). The observed molecular weight corresponds to earlier findings in literature with different antibodies (Berk et al, Proc Natl Acad Sci U S A. 1990 May;87(9):3484-8; PMID: 2185471). Recommended concentration: 0.01-1µg/ml. | |
Application Type Pep-ELISA, WB, IHC |
Goat Anti-GOT1 (aa 157-167) Antibody
$431.00
| SKU | Unit Size | Price |
|---|---|---|
Select a unit size:
Documents |



