Formulation Supplied at 0.5 mg/ml in Tris saline, 0.02% sodium azide, pH7.3 with 0.5% bovine serum albumin.
| |
Unit Size 100 µg | |
Storage Instructions Aliquot and store at -20°C. Minimize freezing and thawing. | |
Synonym / Alias Names neuronal membrane glycoprotein M6-a| M6A| GPM6| glycoprotein M6A|GPM6A | |
Usage Summary This product has been demonstrated not suitable in IF. | |
Accession ID NP_005268.1; NP_963885.1; NP_963886.1 | |
Blocking Peptide EBP10558 | |
Immunogen Peptide with sequence C-QTYFEMARTAGD, from the internal region of the protein sequence according to NP_005268.1; NP_963885.1; NP_963886.1. | |
Product Comments This antibody is expected to recognize all reported isoforms (NP_005268.1; NP_963885.1; NP_963886.1). Reported variants represent identical protein: NP_963885.1, NP_005268.1. | |
Peptide Sequence C-QTYFEMARTAGD | |
Purification Method Purified from goat serum by ammonium sulphate precipitation followed by antigen affinity chromatography using the immunizing peptide. | |
Shipping Instructions Refrigerated | |
Predicted Species Human, Mouse, Rat, Dog | |
Reactive Species Human, Mouse, Rat | |
Human Gene ID 2823 | |
Mouse Gene ID 234267 | |
Rat Gene ID 306439 | |
Product Grade ![]() | |
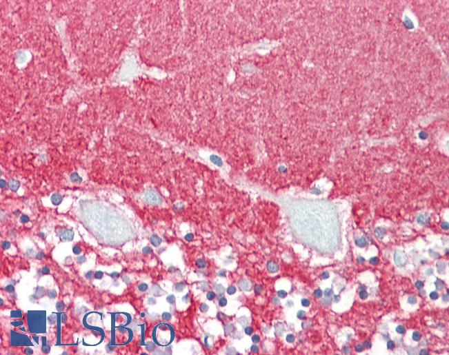
IHC Results Paraffin embedded Human Brain (Cerebellum). Recommended concentration: 3.75µg/ml. | |
ELISA Detection Limit Antibody detection limit dilution 1:32000. | |
Western Blot Approx 33kDa band observed in Human Brain (Cerebellum) and Rat Brain lysates. An approx. 75kDa band was also observed in Human Cerebellum, Olfactory Bulb and in fetal Mouse and Rat Brain lysates (calculated MW of 31.2kDa according to Human NP_005268.1 and Rat NP_835206.1, and 31.1kDa according to Mouse NP_705809.1). The observed 75kDa band corresponds to the glycosylated form. Recommended concentration: 0.5-2µg/ml. Primary incubation was 1 hour. | |
Application Type Pep-ELISA, WB, IHC |
Goat Anti-GPM6A Antibody
$431.00
| SKU | Unit Size | Price |
|---|---|---|
Select a unit size:
Documents |



