Formulation Supplied at 0.5 mg/ml in Tris saline, 0.02% sodium azide, pH7.3 with 0.5% bovine serum albumin.
| |
Unit Size 100 µg | |
Storage Instructions Aliquot and store at -20°C. Minimize freezing and thawing. | |
Synonym / Alias Names TEM5-like|TEM5L|PGR21|G protein-coupled receptor 125|GPR125 | |
Accession ID NP_660333.2 | |
Blocking Peptide EBP08535 | |
Immunogen Peptide with sequence CTNKSASSFKNS, from the internal region of the protein sequence according to NP_660333.2. | |
Peptide Sequence CTNKSASSFKNS | |
Purification Method Purified from goat serum by ammonium sulphate precipitation followed by antigen affinity chromatography using the immunizing peptide. | |
Shipping Instructions Refrigerated | |
Predicted Species Human, Mouse | |
Reactive Species Human | |
Human Gene ID 166647 | |
Mouse Gene ID 70693 | |
Product Grade ![]() | |
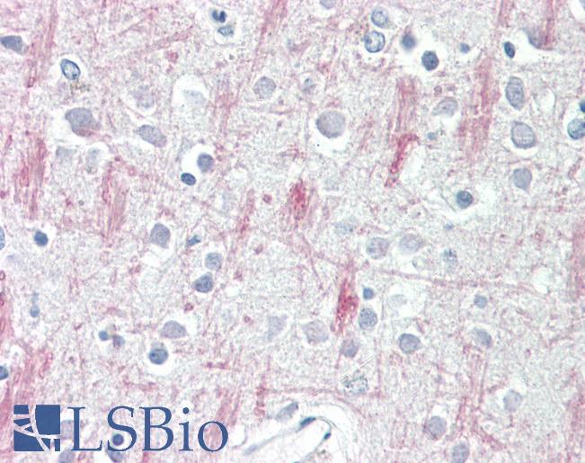
IHC Results Paraffin embedded Human Brain (Cortex). Recommended concentration: 3.75µg/ml. A customer reported successful results on Human Testis. | |
ELISA Detection Limit Antibody detection limit dilution 1:8000. | |
Western Blot Approx 140kDa band observed in Human Ovary lysates (calculated MW of 146kDa according to NP_660333.2). Recommended concentration: 0.5-1.5µg/ml. Primary incubation was 1 hour.
An additional band of unknown identity was also consistently observed at 33kDa. This band was successfully blocked by incubation with the immunising peptide. | |
Application Type Pep-ELISA, WB, IHC |
Goat Anti-GPR125 Antibody
$431.00
| SKU | Unit Size | Price |
|---|---|---|
Select a unit size:
Documents |


