Formulation Supplied at 0.5 mg/ml in Tris saline, 0.02% sodium azide, pH7.3 with 0.5% bovine serum albumin.
| |
Unit Size 100 µg | |
Storage Instructions Aliquot and store at -20°C. Minimize freezing and thawing. | |
Synonym / Alias Names sperm nucleus glutathione peroxidase|phospholipid hydroperoxidase|glutathione peroxidase 4|snGPx|PHGPx|HGNC:4556|glutathione peroxidase 4 (phospholipid hydroperoxidase)|GPX4 | |
Accession ID NP_002076.2; NP_001034937.1 | |
Blocking Peptide EBP07316 | |
Immunogen Peptide with sequence C-EEPLVIEKDLPHY, from the C Terminus of the protein sequence according to NP_002076.2; NP_001034937.1. | |
Product Comments This antibody is expected to recognise isoform A (NP_002076.2) and isoform C (NP_001034937.1). | |
Peptide Sequence C-EEPLVIEKDLPHY | |
Purification Method Purified from goat serum by ammonium sulphate precipitation followed by antigen affinity chromatography using the immunizing peptide. | |
Shipping Instructions Refrigerated | |
Predicted Species Human, Mouse, Rat, Pig, Cow | |
Reactive Species Human, Mouse, Rat | |
Human Gene ID 2879 | |
Product Grade ![]() | |
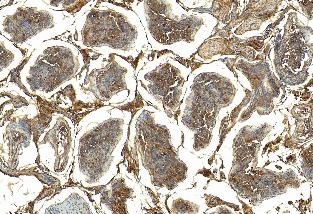
IHC Results Paraffin embedded Human Testis. Recommended concentration: 4-6µg/ml. | |
ELISA Detection Limit Antibody detection limit dilution 1:128000. | |
Western Blot Approx 19-20kDa band observed in Human, Mouse and Rat Testis lysates, Human and Rat Kidney lysates, and in preliminary testing of K562 cell lysate (calculated MW of 22.1kDa according to Human NP_002076.2, Mouse NP_032188.3 and Rat NP_058861.3). Recommended concentration: 0.01-1µg/ml. Primary incubation 1 hour at room temperature. | |
Application Type Pep-ELISA, WB, IHC |
Goat Anti-GPX4 (Isoform a and c) Antibody
$431.00
| SKU | Unit Size | Price |
|---|---|---|
Select a unit size:
Selected References [{"pmid": 21084748, "intro": "This antibody (previous batch) has been successfully used in the following paper:", "title": "Mutations in the selenocysteine insertion sequence-binding protein 2 gene lead to a multisystem selenoprotein deficiency disorder in humans.", "author": "Schoenmakers E et. al.", "journal": "J Clin Invest. 2010 Dec 1;120(12):4220-35."}, {"pmid": 19803747, "intro": "This antibody (previous batch) has been successfully used in WB on Human:", "title": "SECIS-binding protein 2 promotes cell survival by protecting against oxidative stress.", "author": "Papp LV, Lu J, Bolderson E, Boucher D, Singh R, Holmgren A, Khanna KK.", "journal": "Antioxid Redox Signal. 2010 Apr 1;12(7):797-808."}] |
Documents |




