Formulation Supplied at 0.5 mg/ml in Tris saline, 0.02% sodium azide, pH7.3 with 0.5% bovine serum albumin.
| |
Unit Size 100 µg | |
Storage Instructions Aliquot and store at -20°C. Minimize freezing and thawing. | |
Synonym / Alias Names GRIPAP1|GRASP1|GRASP-1|KIAA1167|DKFZp434P0630|MPMGp800B12492Q3|GRIP1 associated protein 1|GRIP-associated protein 1|MGC126593|MGC126595 | |
Accession ID NP_064522.3; NP_997555.1 | |
Blocking Peptide EBP06369 | |
Immunogen Peptide with sequence LREQTTGLAAELQ-C, from the N Terminus of the protein sequence according to NP_064522.3; NP_997555.1. | |
Product Comments This antibody is expected to recognize both reported isoforms (as represented by NP_064522.3; NP_997555.1) | |
Peptide Sequence LREQTTGLAAELQ-C | |
Purification Method Purified from goat serum by ammonium sulphate precipitation followed by antigen affinity chromatography using the immunizing peptide. | |
Shipping Instructions Refrigerated | |
Predicted Species Human | |
Reactive Species Human | |
Human Gene ID 56850 | |
Product Grade ![]() | |
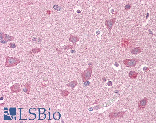
IHC Results Paraffin embedded Human Tonsil and Brain (Cortex). Recommended concentration: 3.75µg/ml. | |
ELISA Detection Limit Antibody detection limit dilution 1:32000. | |
Western Blot Preliminary experiments gave no signal but low background in Human Brain lysates at up to 1µg/ml. | |
Application Type Pep-ELISA, IHC |
Goat Anti-GRASP1 / GRIPAP1 Antibody
$431.00
| SKU | Unit Size | Price |
|---|---|---|
Select a unit size:
Documents |


