Formulation Supplied at 0.5 mg/ml in Tris saline, 0.02% sodium azide, pH7.3 with 0.5% bovine serum albumin.
| |
Unit Size 100 µg | |
Storage Instructions Aliquot and store at -20°C. Minimize freezing and thawing. | |
Synonym / Alias Names SH2/SH3 adapter GRB2|protein Ash|NCKAP2|growth factor receptor-bound protein 3|epidermal growth factor receptor-binding protein GRB2|abundant SRC homology|HT027|MSTP084|MST084|Grb3-3|EGFRBP-GRB2|ASH|growth factor receptor-bound protein 2|GRB2 | |
Usage Summary Additional validation: This antibody has been successfully used in the following paper: Sikorski et al. (2018) PMID: 30377371. | |
Accession ID NP_002077.1; NP_987102.1 | |
Blocking Peptide EBP05284 | |
Immunogen Peptide with sequence C-PRNYVTPVNRNV, from the C Terminus of the protein sequence according to NP_002077.1; NP_987102.1. | |
Product Comments This antibody is expected to recognize both reported isoforms (NP_002077.1and NP_987102.1). | |
Peptide Sequence C-PRNYVTPVNRNV | |
Purification Method Purified from goat serum by ammonium sulphate precipitation followed by antigen affinity chromatography using the immunizing peptide. | |
Shipping Instructions Refrigerated | |
Predicted Species Human, Mouse, Rat, Dog, Cow | |
Reactive Species Human, Mouse, Rat, Pig | |
Human Gene ID 2885 | |
Mouse Gene ID 14784 | |
Rat Gene ID 81504 | |
Product Grade ![]() | |
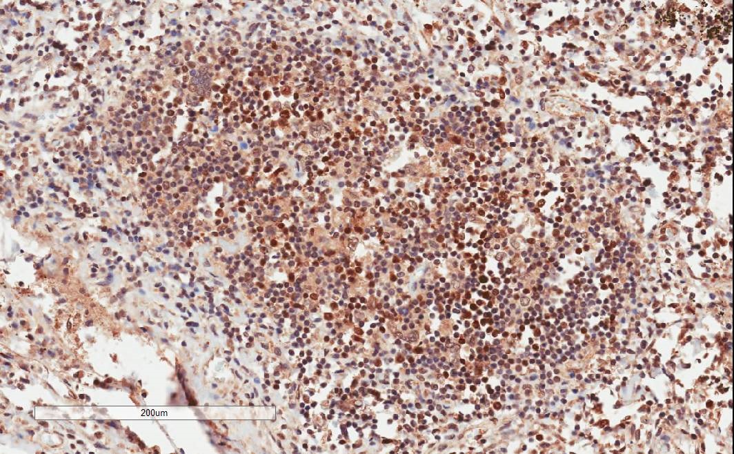
IHC Results In paraffin embedded Human Lymph Node shows nuclear staining in some cells inside the germinal centre. Recommended concentration: 1-2µg/ml. | |
ELISA Detection Limit Antibody detection limit dilution 1:32000. | |
Western Blot Approx 26kDa band observed in lysates of cell line MOLT4, of Human Thymus and of Human, Mouse, Rat, Pig Brain and Spleen lysates (calculated MW of 25.2kDa according to Human NP_002077.1 and according to Rat NP_110473.2). Recommended for use at 0.05-0.15µg/ml. | |
Application Type Pep-ELISA, WB, IHC |
Goat Anti-GRB2 Antibody
$431.00
| SKU | Unit Size | Price |
|---|---|---|
Select a unit size:
Selected References [{"pmid": 30377371, "intro": "This antibody has been successfully used in the following paper:", "title": "A high-throughput pipeline for validation of antibodies", "author": "Krzysztof Sikorski, Adi Mehta, Marit Inngjerdingen, Flourina Thakor, Simon Kling, Tomas Kalina, Tuula A. Nyman, Maria Ekman Stensland, Wei Zhou, Gustavo A. De Souza, Lars Holden, Jan Stuchly, Markus Templin and Fridtjof Lund-Johansen", "journal": "Nat Methods. 2018 Nov;15(11):909-912"}] |
Documents |





