Formulation Supplied at 0.5 mg/ml in Tris saline, 0.02% sodium azide, pH7.3 with 0.5% bovine serum albumin.
| |
Unit Size 100 µg | |
Storage Instructions Aliquot and store at -20°C. Minimize freezing and thawing. | |
Synonym / Alias Names glutathione S-transfera|glutathione S-aryltransferase M4|glutathione S-aralkyltransferase M4|glutathione S-alkyltransferase M4|S-(hydroxyalkyl)glutathione lyase M4|GTS-Mu2|GST-Mu2|GST class-mu 4|GTM4|GSTM4-4|glutathione S-transferase mu 4|GSTM4 | |
Accession ID NP_000841.1; NP_671489.1 | |
Blocking Peptide EBP13026 | |
Immunogen Peptide with sequence DVSNQLARVCYSPD, from the internal region of the protein sequence according to NP_000841.1; NP_671489.1. | |
Product Comments This antibody is expected to recognize both reported isoforms (NP_000841.1; NP_671489.1). | |
Peptide Sequence DVSNQLARVCYSPD | |
Purification Method Purified from goat serum by ammonium sulphate precipitation followed by antigen affinity chromatography using the immunizing peptide. | |
Shipping Instructions Refrigerated | |
Predicted Species Human, Mouse, Rat | |
Reactive Species Human, Rat | |
Human Gene ID 2948 | |
Mouse Gene ID 14865 | |
Rat Gene ID 499689 | |
Product Grade ![]() | |
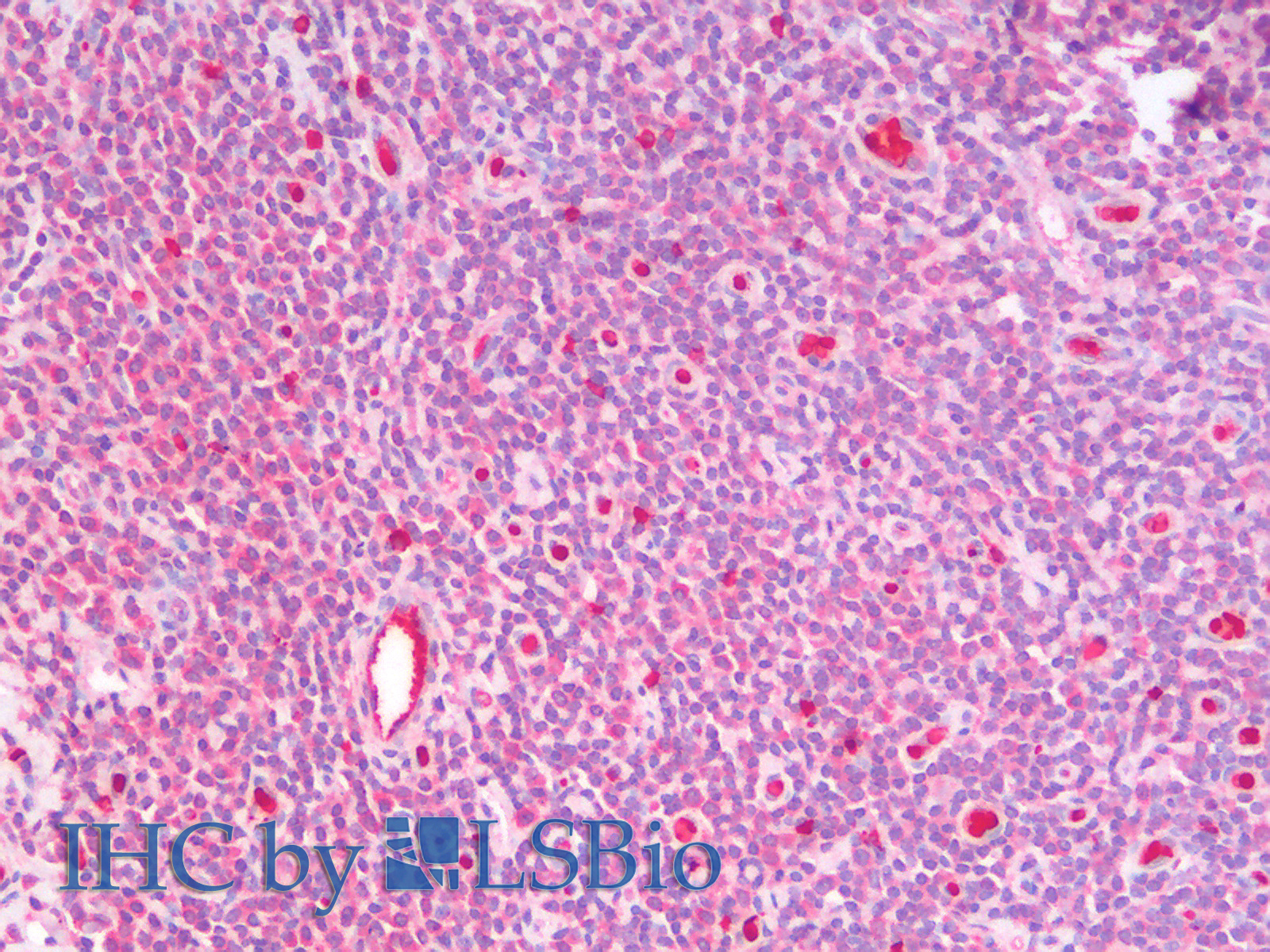
IHC Results Paraffin embedded Human Tonsil. Recommended concentration: 5µg/ml. | |
ELISA Detection Limit Antibody detection limit dilution 1:128000. | |
Western Blot Approx 26kDa band observed in lysates of cell line HeLa and in Rat Lung lysates (calculated MW of 25.6kDa according to Human NP_000841.1 and Rat NP_001019475.1 ). Recommended concentration: 0.1-0.3µg/ml. Primary incubation was 1 hour. | |
Application Type Pep-ELISA, WB, IHC |
Goat Anti-GSTM4 Antibody
$431.00
| SKU | Unit Size | Price |
|---|---|---|
Select a unit size:
Documents |



