Formulation Supplied at 0.5 mg/ml in Tris saline, 0.02% sodium azide, pH7.3 with 0.5% bovine serum albumin.
| |
Unit Size 100 µg | |
Storage Instructions Aliquot and store at -20°C. Minimize freezing and thawing. | |
Synonym / Alias Names tumor suppressor|tuberous sclerosis 1 protein|TSC|MGC86987|LAM|KIAA0243|HGNC:12362|tuberous sclerosis 1|hamartin|TSC1 | |
Accession ID NP_000359.1 | |
Blocking Peptide EBP07221 | |
Immunogen Peptide with sequence C-QLHIMDYNETHHEH, from the C Terminus of the protein sequence according to NP_000359.1. | |
Product Comments This antibody is expected to recognise isoform 1 (NP_000359.1) only. | |
Peptide Sequence C-QLHIMDYNETHHEH | |
Purification Method Purified from goat serum by ammonium sulphate precipitation followed by antigen affinity chromatography using the immunizing peptide. | |
Shipping Instructions Refrigerated | |
Predicted Species Human, Mouse, Rat, Dog | |
Reactive Species Human | |
Human Gene ID 7248 | |
Mouse Gene ID 64930 | |
Product Grade ![]() | |
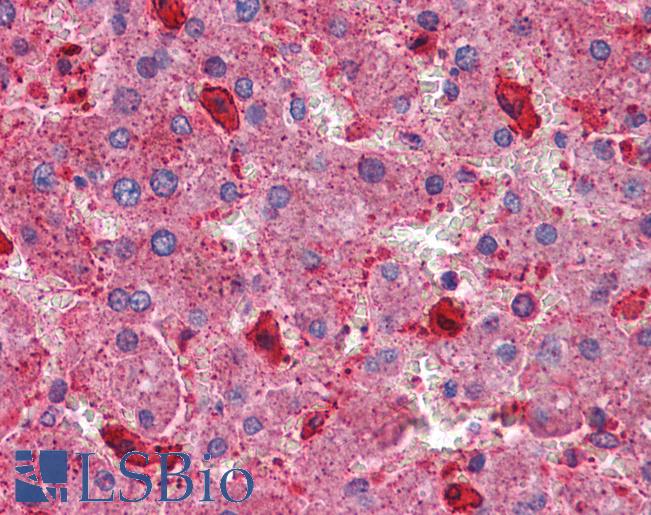
IHC Results Paraffin embedded Human Uterus and Liver. Recommended concentration: 3.75µg/ml. | |
ELISA Detection Limit Antibody detection limit dilution 1:128000. | |
Western Blot Approx 150kDa band observed in Human Brain lysates (calculated MW of 130kDa according to NP_000359.1). The observed molecular weight corresponds to earlier findings in literature with different antibodies (Miloloza et al Hum Mol Genet. 2000 Jul 22;9(12):1721-7; PMID: 10915759). Recommended concentration: 0.1-0.3µg/ml. Primary incubation was 1 hour. | |
Application Type Pep-ELISA, WB, IHC |
Goat Anti-Hamartin / TSC1 (isoform 1) Antibody
$431.00
| SKU | Unit Size | Price |
|---|---|---|
Select a unit size:
Documents |



