Formulation Supplied at 0.5 mg/ml in Tris saline, 0.02% sodium azide, pH7.3 with 0.5% bovine serum albumin.
| |
Unit Size 100 µg | |
Storage Instructions Aliquot and store at -20°C. Minimize freezing and thawing. | |
Synonym / Alias Names neuroan 1|huntingtin-associated protein 2|huntingtin-associated protein 1|hHLP1|HLP|HIP5|HAP2|huntingtin-associated protein 1 (neuroan 1)|HAP1 | |
Accession ID NP_003940.2; NP_817084.1 | |
Blocking Peptide EBP07528 | |
Immunogen Peptide with sequence C-RYDFRYSEDREQ, from the internal region of the protein sequence according to NP_003940.2; NP_817084.1. | |
Product Comments This antibody is expected to recognize all reported isoforms (NP_003940.1, NP_817084.1) | |
Peptide Sequence C-RYDFRYSEDREQ | |
Purification Method Purified from goat serum by ammonium sulphate precipitation followed by antigen affinity chromatography using the immunizing peptide. | |
Shipping Instructions Refrigerated | |
Predicted Species Human | |
Reactive Species Human | |
Human Gene ID 9001 | |
Product Grade ![]() | |
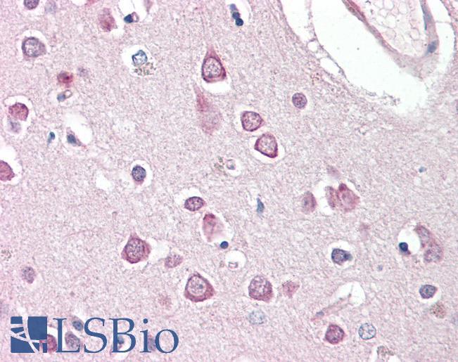
IHC Results Paraffin embedded Human Brain (Cortex). Recommended concentration: 3.75µg/ml. | |
ELISA Detection Limit Antibody detection limit dilution 1:32000. | |
Western Blot Approx 70kDa band observed in Human Brain (Frontal Cortex and Hippocampus) lysates (calculated MW of 69.6kDa according to NP_817084.1). Recommended concentration: 0.1-0.3µg/ml. Primary incubation was 1 hour. An additional band of unknown identity was also consistently observed at 25kDa. This band was successfully blocked by incubation with the immunising peptide. | |
Application Type Pep-ELISA, WB, IHC |
Goat Anti-HAP1 Antibody
$431.00
| SKU | Unit Size | Price |
|---|---|---|
Select a unit size:
Documents |


