Formulation Supplied at 0.5 mg/ml in Tris saline, 0.02% sodium azide, pH7.3 with 0.5% bovine serum albumin.
| |
Unit Size 100 µg | |
Storage Instructions Aliquot and store at -20°C. Minimize freezing and thawing. | |
Synonym / Alias Names kinetochore associated 2|hsNDC80|TID3|NDC80 homolog, kinetochore complex component (S. cerevisiae)|KNTC2|HEC-1|highly expressed in cancer, rich in leucine heptad repeats|HEC|HEC1|NDC80 | |
Accession ID NP_006092.1 | |
Blocking Peptide EBP05610 | |
Immunogen Peptide with sequence C-YEKKATLIKSSEE, from the C Terminus of the protein sequence according to NP_006092.1. | |
Peptide Sequence C-YEKKATLIKSSEE | |
Purification Method Purified from goat serum by ammonium sulphate precipitation followed by antigen affinity chromatography using the immunizing peptide. | |
Shipping Instructions Refrigerated | |
Predicted Species Human | |
Reactive Species Human | |
Human Gene ID 10403 | |
Product Grade ![]() | |
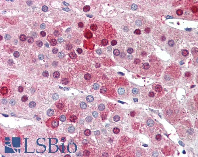
IHC Results Paraffin embedded Human Liver and Adrenal Gland. Recommended concentration: 5µg/ml. | |
ELISA Detection Limit Antibody detection limit dilution 1:32000. | |
Western Blot Approx 75-80kDa band observed in Hela lysate (predicted MW of 74kDa according to NP_006092). Recommended for use at 0.5-2µg/ml. | |
Application Type Pep-ELISA, WB, IHC |
Goat Anti-HEC1 Antibody
$431.00
| SKU | Unit Size | Price |
|---|---|---|
Select a unit size:
Documents |



