Formulation Supplied at 0.5 mg/ml in Tris saline, 0.02% sodium azide, pH7.3 with 0.5% bovine serum albumin.
| |
Unit Size 100 µg | |
Storage Instructions Aliquot and store at -20°C. Minimize freezing and thawing. | |
Synonym / Alias Names HLA-B|major histocompatibility complex, class I, B|AS|HLAB|SPDA1|HLA class I histocompatibility antigen, B alpha chain|MHC Class I HLA heavy chain|MHC HLA-B cell surface glycoprotein|MHC HLA-B transmembrane glycoprotein|MHC class I antigen GN0010 | |
Accession ID NP_005505.2 | |
Blocking Peptide EBP12827 | |
Immunogen Peptide with sequence C-DRNTQIYKAQAQT , from the internal region of the protein sequence according to NP_005505.2. | |
Peptide Sequence C-DRNTQIYKAQAQT | |
Purification Method Purified from goat serum by ammonium sulphate precipitation followed by antigen affinity chromatography using the immunizing peptide. | |
Shipping Instructions Refrigerated | |
Predicted Species Human | |
Reactive Species Human | |
Human Gene ID 3106 | |
Product Grade ![]() | |
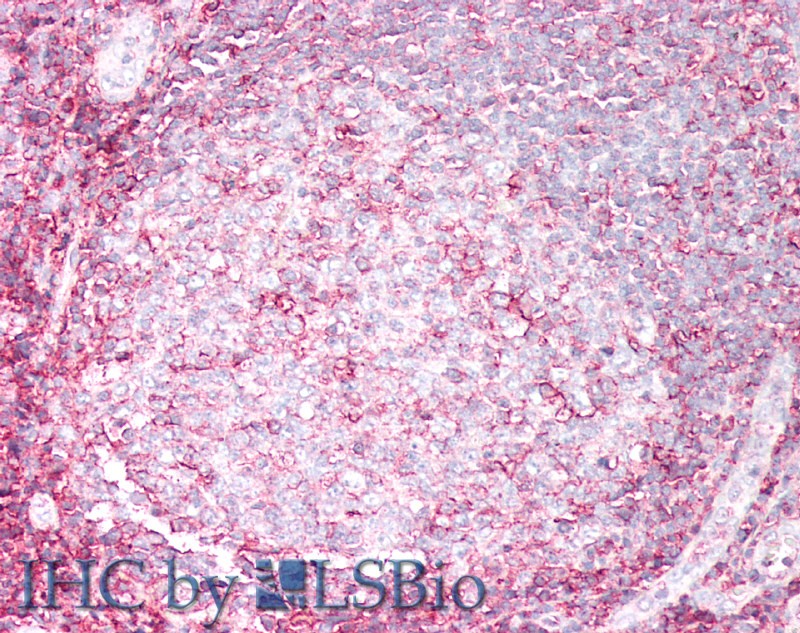
IHC Results Paraffin embedded Human Tonsil. Recommended concentration: 5µg/ml. | |
ELISA Detection Limit Antibody detection limit dilution 1:64000. | |
Western Blot Approx 40+45kDa bands observed in lysates of cell line Jurkat (calculated MW of 40.5kDa according to NP_005505.2). The observed 45kDa band represents the glycosylated form. Recommended concentration: 0.1-0.3µg/ml. Primary incubation was 1 hour. | |
Application Type Pep-ELISA, WB, IHC |
Goat Anti-HLA-B Antibody
$431.00
| SKU | Unit Size | Price |
|---|---|---|
Select a unit size:
Documents |


