Formulation Supplied at 0.5 mg/ml in Tris saline, 0.02% sodium azide, pH7.3 with 0.5% bovine serum albumin.
| |
Unit Size 100 µg | |
Storage Instructions Aliquot and store at -20°C. Minimize freezing and thawing. | |
Synonym / Alias Names HNF4alpha10/11/12|MODY1|MODY|HNF4alpha|FLJ39654|transcription factor-14|HNF4-alpha|hepatocyte nuclear factor 4, alpha|NR2A21|HNF4a9|HNF4a8|HNF4a7|TCF14|NR2A1|HNF4|TCF|HNF4A | |
Accession ID NP_849180.1; NP_000448.3; NP_849181.1 | |
Blocking Peptide EBP06700 | |
Immunogen Peptide with sequence RLSKTLVDMDMADY-C, from the N Terminus of the protein sequence according to NP_849180.1; NP_000448.3; NP_849181.1. | |
Product Comments This antibody is expected to recognise the reported isoforms a, b and c (NP_849180.1; NP_000448.3; NP_849181.1 resp.). | |
Peptide Sequence RLSKTLVDMDMADY-C | |
Purification Method Purified from goat serum by ammonium sulphate precipitation followed by antigen affinity chromatography using the immunizing peptide. | |
Shipping Instructions Refrigerated | |
Predicted Species Human, Dog, Pig | |
Reactive Species Human | |
Human Gene ID 3172 | |
Product Grade ![]() | |
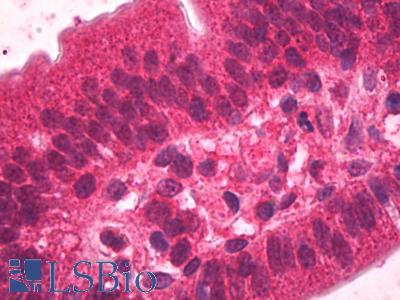
IHC Results Paraffin embedded Human Small Intestine. Recommended concentration: 2µg/ml. | |
ELISA Detection Limit Antibody detection limit dilution 1:32000. | |
Western Blot Approx 55kDa and 48kDa bands observed in lysates of cell line HepG2 (calculated MW of 52.8kDa according to Human NP_000448.3 , 46.6kDa according to Human NP_849181.1). Recommended concentration: 0.1-0.5µg/ml. Primary incubation was 1 hour. | |
Application Type Pep-ELISA, WB, IHC |
Goat Anti-HNF4A Antibody
$431.00
| SKU | Unit Size | Price |
|---|---|---|
Select a unit size:
Documents |


