Formulation Supplied at 0.5 mg/ml in Tris saline, 0.02% sodium azide, pH7.3 with 0.5% bovine serum albumin.
| |
Unit Size 100 µg | |
Storage Instructions Aliquot and store at -20°C. Minimize freezing and thawing. | |
Synonym / Alias Names IBMPFD2|nuclear ribonucleoprotein particle A2 protein|hnRNP A2 / hnRNP B1|SNRPB1|RNPA2|HNRPB1|HNRPA2B1|HNRPA2|HNRNPB1|HNRNPA2|heterogeneous nuclear ribonucleoprotein A2/B1|HNRNPA2B1 | |
Usage Summary Additional validation: This antibody has been successfully used in the following paper: Sikorski et al. (2018) PMID: 30377371. | |
Accession ID NP_002128.1; NP_112533.1 | |
Blocking Peptide EBP12404 | |
Immunogen Peptide with sequence C-DTIEIITDRQS, from the internal region of the protein sequence according to NP_002128.1; NP_112533.1. | |
Product Comments This antibody is expected to recognize both reported isoforms (NP_002128.1; NP_112533.1). | |
Peptide Sequence C-DTIEIITDRQS | |
Purification Method Purified from goat serum by ammonium sulphate precipitation followed by antigen affinity chromatography using the immunizing peptide. | |
Shipping Instructions Refrigerated | |
Predicted Species Human, Mouse, Rat, Dog, Pig, Cow | |
Reactive Species Human, Mouse | |
Human Gene ID 3181 | |
Mouse Gene ID 53379 | |
Rat Gene ID 362361 | |
Product Grade ![]() | |
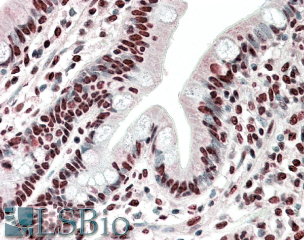
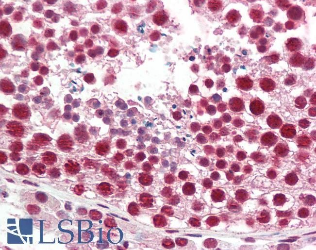
IHC Results In paraffin embedded Human Small Intestine shows nuclear staining. Paraffin embedded Human Testis. Recommended concentration: 5µg/ml. | |
ELISA Detection Limit Antibody detection limit dilution 1:64000. | |
Western Blot Approx 37kDa band observed in lysates of cell line MCF7 and approx. 35kDa in lysates of cell line NIH3T3 and nuclear NIH3T3 (calculated MW of 36.0kDa according to NP_002128.1). An additional band of unknown identity was also consistently observed at 30kDa. This band was successfully blocked by incubation with the immunising peptide. Recommended concentration: 0.01-0.3µg/ml. Primary incubation 1 hour at room temperature. | |
Application Type Pep-ELISA, WB, IHC |
Goat Anti-HNRNPA2B1 Antibody
$431.00
| SKU | Unit Size | Price |
|---|---|---|
Select a unit size:
Selected References [{"pmid": 30377371, "intro": "This antibody has been successfully used in the following paper:", "title": "A high-throughput pipeline for validation of antibodies", "author": "Krzysztof Sikorski, Adi Mehta, Marit Inngjerdingen, Flourina Thakor, Simon Kling, Tomas Kalina, Tuula A. Nyman, Maria Ekman Stensland, Wei Zhou, Gustavo A. De Souza, Lars Holden, Jan Stuchly, Markus Templin and Fridtjof Lund-Johansen", "journal": "Nat Methods. 2018 Nov;15(11):909-912"}] |
Documents |




