Formulation Supplied at 0.5 mg/ml in Tris saline, 0.02% sodium azide, pH7.3 with 0.5% bovine serum albumin.
| |
Unit Size 100 µg | |
Storage Instructions Aliquot and store at -20°C. Minimize freezing and thawing. | |
Synonym / Alias Names homeobox protein Hox-A10|homeobox protein Hox-1H|homeobox protein Hox-1.8|homeobox protein HOXA10|homeobox protein 1H|homeo box A10|PL|HOX1H|HOX1.8|HOX1|homeobox A10|HOXA10 | |
Accession ID NP_061824.3 | |
Blocking Peptide EBP12204 | |
Immunogen Peptide with sequence PQATSCSFAQNIKE, from the internal region of the protein sequence according to NP_061824.3. | |
Peptide Sequence PQATSCSFAQNIKE | |
Purification Method Purified from goat serum by ammonium sulphate precipitation followed by antigen affinity chromatography using the immunizing peptide. | |
Shipping Instructions Refrigerated | |
Predicted Species Human, Mouse, Pig, Cow | |
Reactive Species Human | |
Human Gene ID 3206 | |
Mouse Gene ID 15395 | |
Product Grade ![]() | |
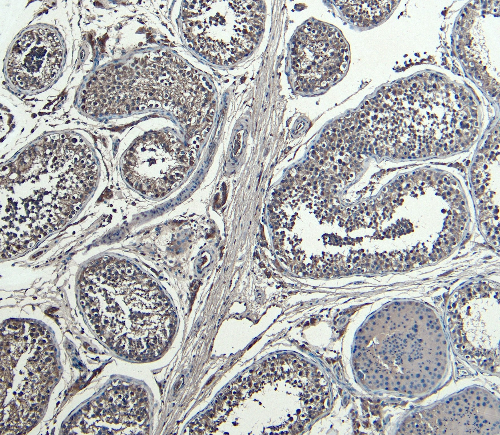
IHC Results Paraffin embedded Human Testis. Recommended concentration: 7µg/ml. | |
ELISA Detection Limit Antibody detection limit dilution 1:2000. | |
Application Type Pep-ELISA, IHC |
Goat Anti-HOXA10 Antibody
$431.00
| SKU | Unit Size | Price |
|---|---|---|
Select a unit size:
Documents |


