Formulation Supplied at 0.5 mg/ml in Tris saline, 0.02% sodium azide, pH7.3 with 0.5% bovine serum albumin.
| |
Unit Size 100 µg | |
Storage Instructions Aliquot and store at -20°C. Minimize freezing and thawing. | |
Synonym / Alias Names homeo box D10|homeo box 4D|Hox-4.4|HOX4E|HOX4D|HOX4|homeobox D10|HOXD10 | |
Usage Summary Flow Cytometry: Flow cytometric analysis of HEK293 cells. Recommended concentration: 10ug/ml. | |
Accession ID NP_002139.2 | |
Blocking Peptide EBP08884 | |
Immunogen Peptide with sequence PNRSCRIEQPVTQQ, from the internal region of the protein sequence according to NP_002139.2. | |
Peptide Sequence PNRSCRIEQPVTQQ | |
Purification Method Purified from goat serum by ammonium sulphate precipitation followed by antigen affinity chromatography using the immunizing peptide. | |
Shipping Instructions Refrigerated | |
Predicted Species Human, Mouse, Rat, Horse, Cow | |
Reactive Species Human | |
Human Gene ID 3236 | |
Mouse Gene ID 15430 | |
Rat Gene ID 303991 | |
Product Grade ![]() | |
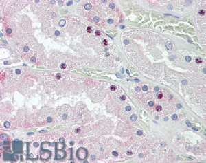
IHC Results In paraffin embedded Human Kidney shows nuclear staining in some epithelial cells of PCT. Recommended concentration, 3-5µg/ml. | |
ELISA Detection Limit Antibody detection limit dilution 1:32000. | |
Western Blot Preliminary testing showed a band at approx 37kDa in Human Kidney lysate after 3µg/ml antibody staining (calculated MW of 38.4 kDa according to NP_002139.2). Primary incubation 1 hour at room temperature. | |
Application Type Pep-ELISA, IHC, FC |
Goat Anti-HOXD10 Antibody
$431.00
| SKU | Unit Size | Price |
|---|---|---|
Select a unit size:
Documents |


